пр. Д. Яворницкого 82
г. Днепр
Пон - Вск
08:00 - 20:00
Позвонить
+38 (097) 292 78 99
+38 (093) 658 20 49
Исправление прикуса и выравнивание зубов для здоровой и красивой улыбки. Запишитесь на консультацию к ортодонту!
+38 (097) 292 78 99
Детский и взрослый ортодонт
Современные методы лечения
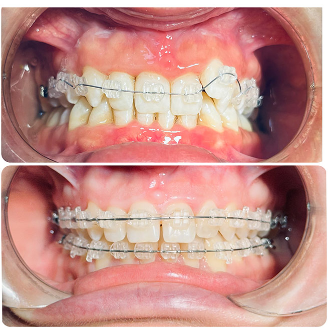
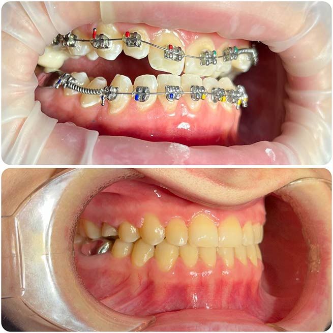
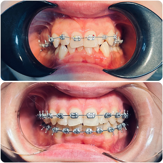
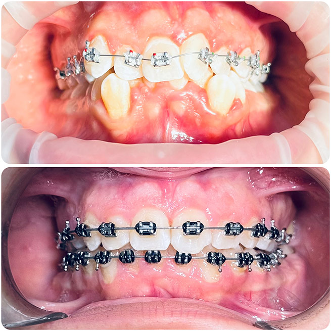
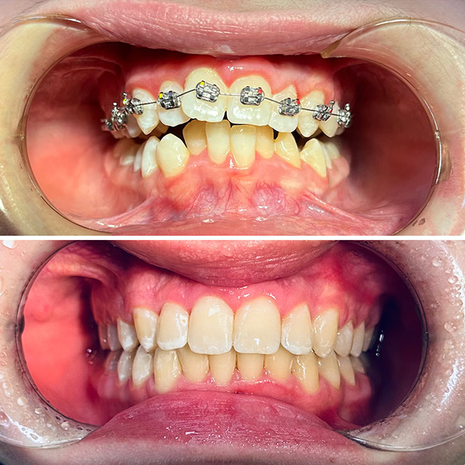
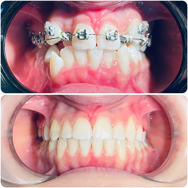
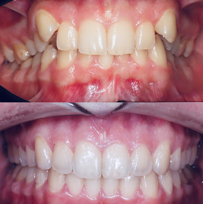
Ортодонтическое лечение в 32Дентал — это комплексный подход к здоровью вашей улыбки. В нашей клинике мы не просто выравниваем зубы, а восстанавливаем правильную функцию зубочелюстной системы, нормализуем работу мышц и суставов. Исправление прикуса помогает достичь идеальной эстетики зубного ряда, равномерного распределения нагрузки на челюсти и улучшения общего здоровья полости рта.
Современная ортодонтия эффективна как для детей, так и для взрослых. Независимо от возраста, профессиональное лечение позволяет устранить неровности зубов, улучшить эстетику лица и предотвратить осложнения. Неправильный прикус или скученность зубов — распространенные проблемы, которые легко решаются с помощью консультации опытного ортодонта.
Существует несколько основных видов аномалий прикуса, которые диагностирует и лечит детский ортодонт или специалист для взрослых:
Кроме того, даже при нормальном прикусе возможны зубоальвеолярные аномалии:
Эти патологии приводят к кариесу, заболеваниям десен, нарушениям дикции, головной боли и даже проблемам с ЛОР-органами. Своевременное исправление прикуса брекетами или элайнерами предотвращает эти осложнения.
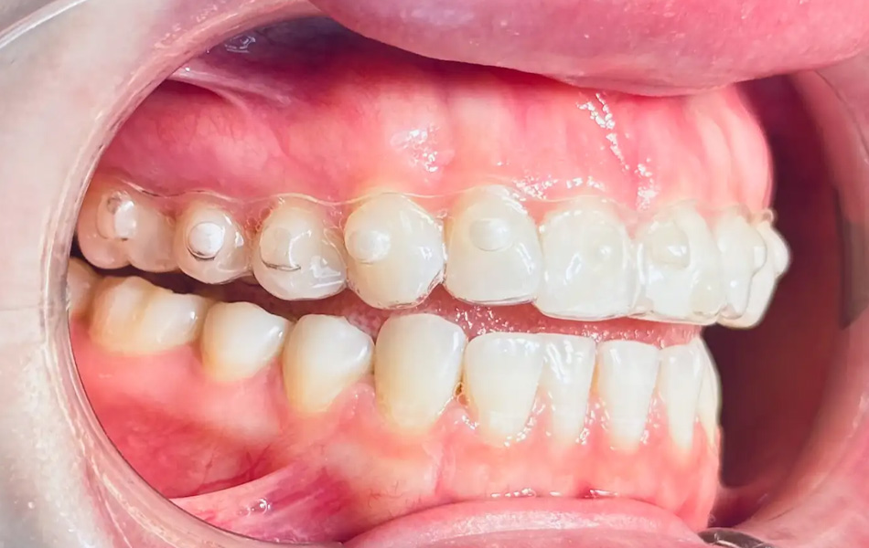
После снятия брекетов обязательно фиксируем результат с помощью ретейнеров:
Это гарантирует стабильность результата на годы.
Ортодонт в нашей стоматологии — это специалист с большим опытом, который использует проверенные американские технологии. Мы лечим аномалии зубочелюстной системы без возрастных ограничений, возвращая пациентам красивую улыбку и уверенность. Правильный прикус обеспечивает эффективное жевание, четкое произношение и гармоничный профиль лица.
Подробнее о наших услугах:
Наиболее распространенные факторы:
В стоматологии 32Дентал мы применяем индивидуальный подход и передовые методики ортодонтии в Украине:
Да, абсолютно! Исправление прикуса у взрослых эффективно и рекомендуется по следующим показаниям:
Следуйте рекомендациям ортодонта:
Что такое ортодонтия?
Область стоматологии, которая диагностирует и исправляет неправильный прикус, положение зубов и аномалии челюстей.
Можно ли исправить прикус взрослому?
Да, современные методы (брекеты, элайнеры) эффективны в любом возрасте.
Возможно ли исправление прикуса без брекетов?
Да, с помощью элайнеров — прозрачных кап, комфортных и незаметных.
Больно ли носить брекеты?
Только легкий дискомфорт первые 1-2 недели, потом привыкаете полностью.
Когда обращаться к ортодонту?
При неровных зубах, проблемах с жеванием, промежутках или смещении челюсти.
Как выбрать ортодонта?
Выберите клинику с опытными специалистами, современным оборудованием и положительными отзывами — это 32Dental.com.ua.
Запишитесь на консультацию к ортодонту в Днепре прямо сейчас и получите план лечения для идеальной улыбки!
Проблемный зуб болел несколько дней. В клинике удалили быстро, без осложнений. Врач все объяснил, успокоил, анестезия сработала идеально. Спасибо!
Большое спасибо Лауре Витальевне за мою новую, красивую улыбку! Мое лечение подходит к концу, через месяц снимать брекеты, а я к ним так привыкла, что даже немного жалко 🙂 Я пришла с проблемой выпирающих клыков и неровного нижнего ряда – сейчас все зубы стоят идеально ровно. Приятным бонусом стало то, что даже профиль лица изменился к лучшему. Очень довольна всем процессом и результатом. Однозначно рекомендую этого врача
Сломался передний зуб, поэтому пришлось устанавливать коронку. Цена была не самой низкой, но я хотела натуральный вид, потому выбрала только керамику. Сегодня уже поставили – коронка выглядит идеально, белая и естественная, совсем как настоящий зуб. Великолепная стоматология!
Хочу выразить огромную благодарность ортодонту Лауре Витальевне за мои идеально ровные зубы! Я долго сомневалась, стоит ли ставить брекеты в моем возрасте, очень боялась, что уже поздно. Прошло чуть больше двух лет, и месяц назад мне сняли металлическую брекет-систему. Результат превзошел все ожидания! Я безгранично счастлива, что наконец-то могу улыбаться открыто и не стесняться.
Прекрасные впечатления от клиники! Внимательный и заботливый персонал, стильный интерьер, современное оборудование и материалы. Клиентоориентированность на высшем уровне. Рада, что выбрала вашу команду!
Обратилась к 32Dental с зубом мудрости, росшим под углом и не полностью прорезавшимся. Врач рекомендовал удаление из-за нехватки места в челюсти. Процедура была продолжительной, но совершенно безболезненной – испытывала лишь легкое давление. Скоро приду на удаление второго зуба. Спасибо!
Посетила клинику для отбеливания зубов Beyond, пломбирования и художественной реставрации. Очень понравилось оптимальное соотношение цены и качества, быстрое выполнение работ и комфортная атмосфера во время приема. Рекомендую!
Очень боялась, но в клинике удаление прошло абсолютно безболезненно. Врач успокоил и работал быстро и аккуратно.
Свяжитесь с нами, мы ответим на все интересующие Вас вопросы!
Контактыг. Днепр, Правый берег,
пр. Д. Яворницкого 82
Пн-Вск с 8.00-20.00
+38 (097) 292 78 99 +38 (093) 658 20 49 32dentaldnipro@gmail.comПн-Вск с 8.00-20.00
© 2026 32Dental. Все права защищены 32Dental.com.ua
