Элайнеры в Днепре: прозрачные капы для выравнивания зубов без брекетов в стоматологии 32Дентал
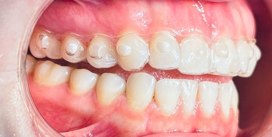
Элайнеры в Днепре — современная альтернатива брекетам для исправления прикуса и выравнивания зубов. Это прозрачные съемные капы из эластичного медицинского материала, изготовленные индивидуально по форме вашего зубного ряда. Капы для выравнивания зубов в Днепре практически невидимы, комфортны и легко снимаются для еды или гигиены — идеальный выбор для взрослых, которые ценят эстетику и удобство.
В стоматологии 32Дентал мы предлагаем профессиональное лечение элайнерами для достижения идеальной улыбки без дискомфорта.
Показания к лечению элайнерами
- Скученные зубы;
- Щели между зубами (диастемы, тремы);
- Неправильное расположение или поворот отдельных зубов;
- Выпирающие зубы.
Элайнеры эффективны для легких и средней сложности случаев. Для сложных аномалий прикуса рекомендуем брекеты в Днепре.
Противопоказания к элайнерам
- Пародонтит;
- Сложные патологии прикуса;
- Возраст до 12 лет;
- Недисциплинированность пациента;
- Заболевания височно-нижнечелюстного сустава;
- Аномалии развития челюстей;
- Тяжелые хронические заболевания или психические расстройства.
Как работают элайнеры для выравнивания зубов?
Элайнеры оказывают мягкое постоянное давление, постепенно перемещая зубы в правильное положение. Носите их не менее 20–22 часов в сутки, снимая только для еды и чистки. Пациент получает набор индивидуальных кап, которые меняются каждые 2 недели (по плану врача). Количество элайнеров и этапы определяет ортодонт после диагностики.
3D-моделирование позволяет увидеть прогнозируемый результат еще до начала лечения.
Этапы лечения элайнерами в Днепре в 32Дентал
- Консультация ортодонта: осмотр, слепки челюстей, разработка плана лечения.
- Изготовление: слепки отправляются в лабораторию (США или Украина) для создания серии кап.
- Установка: фиксация первой капы и аттачментов (если нужно), инструктаж по использованию, выдача набора.
- Контроль: Периодические визиты для мониторинга (каждые 8–16 недель).
- Фиксация результата: Ношение ретейнеров после завершения.
Преимущества и недостатки элайнеров
Преимущества элайнеров:
- Полная невидимость — прозрачные капы не заметны для окружающих;
- Максимальный комфорт — без острых элементов, не натирают слизистую;
- Легкая гигиена — снимаются для чистки зубов и самих кап;
3D-прогноз результата до старта; - Без ограничений в еде — снимайте во время приема пищи.
Недостатки элайнеров:
- Требуют дисциплины (ношение 20–22 часа);
- Не подходят для сложных случаев (лучше брекеты);
- Риск потери или повреждения капы;
- Более высокая стоимость по сравнению с брекетами (но с учетом комфорта).
Продолжительность лечения элайнерами
Зависит от сложности: от 6 месяцев до 1,5–2 лет. Обычно 8–10 месяцев для заметных результатов. Первые изменения видны через 3–4 месяца.
Как носить и фиксировать элайнеры?
Капы держатся за счет точной формы — без клея или проволоки.
Правила ношения:
- Надевайте после чистки зубов;
- Носите постоянно, снимая только для гигиены/еды;
- Меняйте по графику врача;
- Храните в футляре.
Уход за элайнерами и полостью рта
- Снимайте перед едой (даже жевательной резинкой);
- Промывайте теплой водой;
- Чистите отдельной щеткой;
- Чистите зубы после еды, полоскайте рот перед надеванием.
Часто задаваемые вопросы об элайнерах
Как выровнять зубы без брекетов?
С помощью элайнеров, пластинок или трейнеров. Альтернатива — виниры для эстетики.
Как работают элайнеры?
Мягкое давление перемещает зубы без травм эмали или десен. Современная альтернатива брекетам.
Сколько носить элайнеры?
Индивидуально: 8–10 месяцев в среднем, до 2 лет в сложных случаях.
Как часто посещать ортодонта?
Каждые 8–16 недель для контроля.
Когда виден результат от элайнеров?
Первые изменения — через 3–4 месяца, полный эффект — по плану.
Как часто менять элайнеры?
Каждые 2 недели по рекомендации врача.
Что лучше: элайнеры или брекеты?
Элайнеры — эстетичные, комфортные, для легких/средних случаев, дороже. Брекеты — универсальные, дешевле, для сложных. Выбор за ортодонтом после осмотра.
Запишитесь на консультацию по элайнерам в Днепре в 32Дентал — получите индивидуальный план для идеальной улыбки! Смотрите прайс и отзывы.










