Детский ортодонт в Днепре | Коррекция прикуса у детей: брекеты, пластинки, аппараты, миобрейсы
Ранняя забота о правильном прикусе — это лучшая инвестиция в здоровье ребенка. Детский ортодонт в Днепре в стоматологии 32Дентал специализируется на диагностике, профилактике и лечении аномалий прикуса у детей и подростков. Мы предлагаем современные методы коррекции: от профилактических пластинок до эффективных брекет-систем.
Чем занимается детский ортодонт?
Это специалист, который контролирует правильное формирование зубочелюстной системы ребенка. Его задача — своевременно выявить отклонения и подобрать оптимальную конструкцию (пластинки, аппараты, брекеты), чтобы не только выровнять зубы, но и повлиять на гармоничное развитие челюстей.
Записать ребенка на консультацию к ортодонту стоит уже с 5-7 лет. Это позволит выявить проблемы на ранней стадии и избежать сложного лечения в будущем.
Почему коррекция прикуса у ребенка — это важно?
Правильный прикус у ребенка — это не только эстетика улыбки. Это фундаментальный аспект общего здоровья, влияющий на многие функции организма. Выравнивание зубов у ребенка необходимо, поскольку аномалии приводят к серьезным последствиям:
- Нарушение речи и дикции.
- Неэффективное жевание, что может вызвать проблемы с пищеварительной системой.
- Неправильная нагрузка на височно-нижнечелюстные суставы, головные боли.
- Влияние на осанку и развитие шейного отдела позвоночника.
- Визуальная асимметрия и деформация форм лица.
- Повышенный риск травм выступающих зубов и развития кариеса из-за скученности.
Поэтому консультация детского ортодонта — это проактивный шаг для предотвращения этих проблем.
Индивидуальный подход к каждому ребенку в ортодонтии
В стоматологии 32Дентал детский ортодонт работает по принципу персонализированной заботы. Мы понимаем, что каждый ребенок уникален, а его психологический комфорт — это приоритет.
Наш подход:
- Безстрессовое общение. Врач доступно объясняет ребенку все этапы, снимая страх.
- Персональный выбор метода. Подбираем конструкцию (пластинку, аппарат или брекеты) с учетом возраста, сложности проблемы и характера ребенка.
- Комфорт и стабильный результат. Наша цель — чтобы лечение было легким, а его эффект — долговечным.
Когда нужна консультация детского ортодонта?
Записать ребенка на профилактический осмотр к детскому ортодонту стоит уже с 5-6 лет. Но есть конкретные признаки, при которых консультация становится неотложной:
- Постоянные проблемы с дикцией, не связанные с логопедическими причинами.
- Визуальные аномалии: заметная неровность зубного ряда, большие щели между зубами (диастемы), выраженно выдвинутая вперед или задвинутая назад челюсть.
- Преимущественное ротовое дыхание у ребенка, а не носовое, особенно в спокойном состоянии и во время сна.
- Ночной скрежет зубами (бруксизм).
Наличие вредных привычек, продолжающихся после 3-х лет: сосание пальца, губы, постоянное грызение карандашей/ручек, вдавливание языка между зубами.
Своевременный визит к детскому ортодонту в стоматологию 32Дентал в Днепре позволит выявить проблему на ранней стадии, когда ее решение будет самым простым, нетравматичным для ребенка и экономически выгодным для родителей.
Методы коррекции прикуса у детей в стоматологии 32Дентал
Современная детская ортодонтия предлагает различные методы, подбираемые по возрасту и диагнозу ребенка.
Основные методы лечения
- Съемные пластинки. Для дошкольников и младших школьников. Корректируют привычки, расширяют зубной ряд.
- Тренеры (миобрейсы). Мягкие съемные каппы. Тренируют мышцы, устраняя причины проблемы. Часто используются ночью.
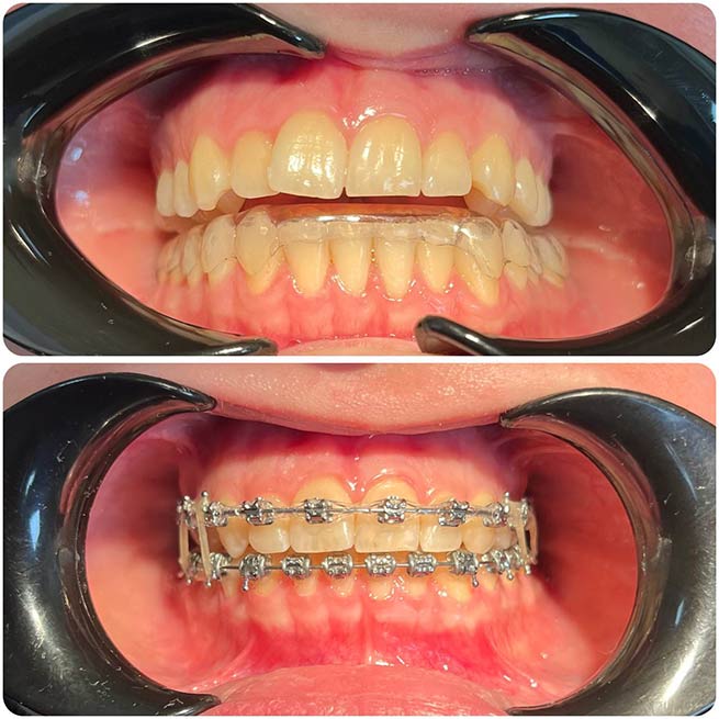
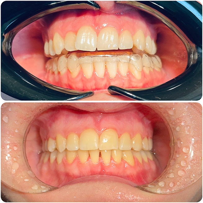
- Ортодонтические капы (элайнеры). Серия прозрачных кап для детей старшего возраста. Почти незаметны, съемные.
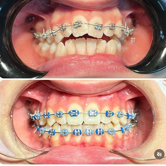
- Брекеты. Несъемные системы — «золотой стандарт» для серьезных аномалий у детей с 11-13 лет. Обеспечивают максимально точный результат.
Мы подберем лучший вариант для вашего ребенка! Запишитесь на консультацию к детскому ортодонту в 32Дентал в городе Днепр. Наш детский ортодонт подберет тот метод, который будет оптимальным именно для вашего ребенка, учитывая его возраст, готовность к сотрудничеству и конкретную клиническую картину.
Ортодонтические пластинки для детей
Ортодонтические пластинки — это один из самых распространенных и доступных методов ранней коррекции прикуса у детей. Эти конструкции, которые могут быть как съемными, так и несъемными, отличаются мягким, но при этом высокоэффективным воздействием на зубной ряд и челюсти, стимулируя их правильное развитие.
Съемные пластинки для расширения челюсти и коррекции прикуса
Съемная ортодонтическая пластинка для верхней челюсти — это индивидуально изготовленный аппарат, состоящий из:
- Полимерной основы (из гипоаллергенного пластика или силикона), которая точно повторяет форму неба.
- Металлических элементов: дуг и кламмеров (крючков) из медицинской стали для надежной фиксации на зубах.
- Активационного ключа (в расширительных пластинах) для регулировки силы давления.
Главное преимущество съемных пластинок — это возможность их снятия ребенком самостоятельно во время еды, занятий спортом и для тщательной чистки зубов. Это значительно повышает комфорт и упрощает гигиену.
Внимание! Для успеха лечения критически важным является контроль со стороны родителей. Эффективность напрямую зависит от времени ношения. Для достижения стабильного результата пластинка должна находиться в ротовой полости не менее 14-16 часов в сутки, а в сложных случаях — практикуется почти постоянное ношение (22 часа). Родителям необходимо следить за соблюдением этого режима.
Некоторые временные неудобства, такие как нарушение дикции или повышенное слюноотделение на первых этапах, являются нормальными и быстро проходят после периода адаптации (3-7 дней).
Несъемные аппараты
Несъемные ортодонтические аппараты закрепляются в ротовой полости на весь срок лечения. Хотя они чаще используются у взрослых, в определенных случаях могут быть показаны и детям. Их главное преимущество — постоянное действие, обеспечивающее максимальную эффективность, поскольку давление на зубы не прекращается. С такой конструкцией дикция почти не нарушается, а риск потери аппарата исключен.
Основным вызовом при использовании несъемных аппаратов является тщательная гигиена. Для качественной очистки вокруг элементов конструкции обязательно нужно использовать ирригатор, специальные щетки (ершики) и другие средства, о которых подробно расскажет ортодонт.
Миобрейсы и трейнеры для зубов
Миобрейсы и ортодонтические трейнеры — это современные съемные капы или шины, основным назначением которых является мягкая коррекция причин, а не только последствий, неправильного прикуса. Они изготавливаются из эластичного, безопасного силикона или полиуретана и являются абсолютно гипоаллергенными.
Принцип их действия заключается не в механическом перемещении зубов, а в тренировке мышц челюстно-лицевой области, устранении вредных мышечных привычек и обеспечении правильного положения языка. Это позволяет устранить первопричину многих аномалий.
Применение миобрейсов (тренеров) в детской ортодонтии особенно эффективно для:
- Устранение вредных привычек ребенка: сосание пальца, грызение предметов, неправильное прокладывание языка.
- Коррекция легких форм нарушения прикуса и неровности зубного ряда на ранних этапах.
- Тренировка мышечного комплекса для формирования правильных функций дыхания, глотания и речи.
- Комплексная терапия как вспомогательный аппарат до или после лечения брекетами.
Важно понимать, что решение о необходимости и выборе конкретной модели трейнера принимает исключительно детский ортодонт после обследования. В стоматологии 32Дентал мы подбираем такую конструкцию индивидуально, что гарантирует ее эффективность и комфорт для ребенка.
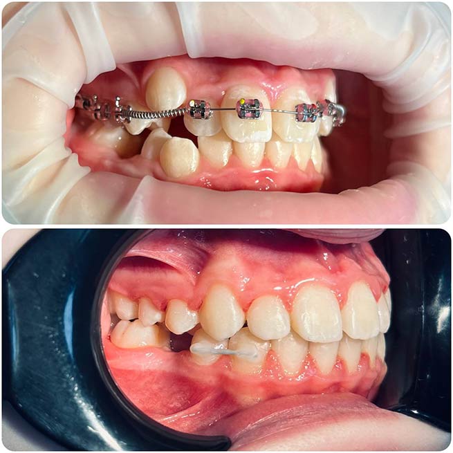
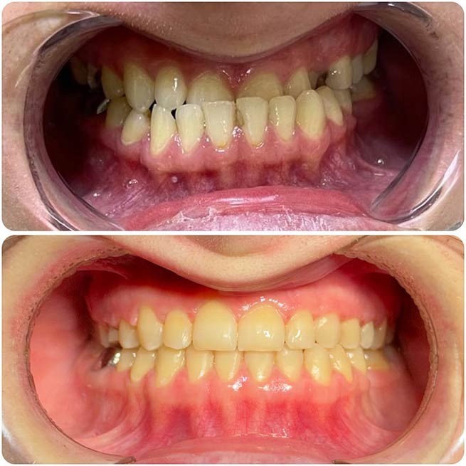
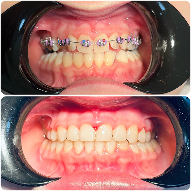
Брекеты для детей и подростков
Брекеты для детей — это мощный и эффективный инструмент для коррекции серьезных аномалий прикуса и неровности зубного ряда в постоянном прикусе. Эта несъемная ортодонтическая система позволяет достичь идеального результата там, где съемные аппараты могут быть неэффективны.
Почему ортодонтическое лечение брекетами в детском возрасте является наиболее благоприятным?
- Высокая биологическая активность. У детей и подростков ткани вокруг зубов (костная, связочная) находятся в активной фазе роста и перестройки. Это позволяет зубам перемещаться значительно легче и быстрее.
- Сокращенные сроки лечения. Благодаря вышеупомянутой особенности, общее время ношения брекетов ребенком часто будет меньше, чем у взрослого с аналогичной проблемой.
- Возможность влияния на развитие челюстей. В период активного роста с помощью брекет-систем можно не только выровнять зубы, но и способствовать гармоничному развитию самой челюсти, улучшая профиль лица.
От чего зависит продолжительность лечения брекетами у ребенка?
Точный срок ношения брекет-системы ребенком всегда определяется индивидуально. Помимо возраста, на него влияет ряд ключевых факторов:
- Сложность и характер аномалии. Чем выраженнее нарушение прикуса и неровность зубного ряда, тем больше времени понадобится для их полной коррекции. Легкое скопление решается быстрее, чем перекрестный прикус или серьезная дизокклюзия.
- Исходное состояние здоровья зубов и десен. Наличие нелеченного кариеса, воспалительных процессов в деснах (гингивит) или других заболеваний является прямым противопоказанием к установке системы. Ребенку обязательно нужно пройти полную санацию полости рта. Лечение этих проблем может сдвинуть начало ортодонтической коррекции, но является безусловно необходимым для безопасного и успешного результата.
- Дисциплина и сотрудничество ребенка и родителей. Это один из важнейших факторов. К нему относятся:
Соблюдение режима ношения (если есть съемные элементы).
Тщательное выполнение всех правил гигиены.
Осторожность в питании (соблюдение диеты без твердых и липких продуктов).
Пренебрежение этими правилами может не только продлить лечение, но и привести к повреждению аппарата и развитию кариеса.
Помните: брекеты для ребенка — это не только инструмент для создания красивой улыбки. Это вклад в его здоровье, который улучшает функцию жевания, предотвращает патологию височно-нижнечелюстных суставов, способствует правильной дикции и может предотвратить серьезные проблемы со здоровьем во взрослом возрасте. В стоматологии 32Дентал наш детский ортодонт налаживает контакт с каждым ребенком, мотивируя его к сотрудничеству, что является залогом эффективного и быстрого лечения.
Когда нужна консультация детского ортодонта? Признаки для обращения
Первый профилактический осмотр у детского ортодонта рекомендуется в возрасте 4-5 лет, когда формируется молочный прикус. Но записаться к ортодонту следует независимо от возраста, если вы замечаете у ребенка такие признаки:
- Неправильное смыкание зубов (прикус): Зубы верхней и нижней челюсти не смыкаются правильно, что может вызвать проблемы с жеванием, дикцией и даже провоцировать головную боль.
- Явная скученность зубов: Зубы расположены очень тесно, «наползают» друг на друга. Это затрудняет гигиену, способствуя кариесу и воспалению десен.
- Проблемы со сменой зубов: Выпадение молочных зубов значительно опережает прорезывание постоянных или наоборот — постоянный зуб уже прорывается, а молочный еще не выпал. Отсутствие места для нового зуба — также важный сигнал.
- Аномальное положение отдельных зубов: Зубы повернуты, вывернуты, растут вне зубного ряда или имеют неправильный угол наклона.
- Челюстные диспропорции: Заметное несоответствие размеров челюстей (одна значительно выступает вперед), асимметрия лица, постоянно полуоткрытый рот.
- Наличие вредных привычек: Ребенок после 3-4 лет продолжает сосать палец, губу, предметы, поднимает язык к зубам или преимущественно дышит ртом.
- Жалобы на дискомфорт: Периодические боли в челюсти, висках, затрудненное или щелкающее открывание рта.
- Эстетические замечания ребенка или родителей: Если ребенок стесняется улыбаться из-за кривых зубов или вы видите явные эстетические недостатки, это весомое основание для консультации.
Обратиться к детскому ортодонту в стоматологию 32Дентал в Днепре никогда не рано. Своевременная диагностика позволяет использовать самые простые и эффективные методы, избегая сложного лечения в будущем.
Вопросы о детской ортодонтии: отвечает специалист
Когда впервые показывать ребенка ортодонту?
Первую консультацию рекомендуем в 5–6 лет, когда начинается смена зубов. Также обращайтесь, если заметили искривление зубов или проблемы с жеванием у ребенка.
Кто такой детский ортодонт?
Это специалист по развитию прикуса у детей. Его задача — предотвратить и исправить аномалии, подобрав оптимальный метод (пластинки, трейнеры, брекеты).
Всегда ли нужны брекеты ребенку?
Нет. Брекеты — лишь один из инструментов для сложных случаев. Часто более эффективны пластинки или трейнеры. Метод подбирается индивидуально.
Нужно ли исправлять прикус ребенку?
Да. Правильный прикус влияет на здоровье зубов, пищеварение, дыхание и дикцию. Коррекция в детстве проходит легче и эффективнее.
Ортодонты стоматологии 32Дентал отмечают: период активного роста ребенка — это наиболее благоприятное время для коррекции. В этом возрасте лечение проходит значительно легче, быстрее, экономически выгоднее и позволяет достичь идеального стабильного результата, предотвратив серьезные проблемы во взрослом возрасте.













































