Гнатолог в Днепре: лечение височно-нижнечелюстного сустава (ВНЧС) и дисфункции в стоматологии 32Дентал
Вы просыпаетесь с головной болью, чувствуете хруст в челюсти во время завтрака или замечаете, что лицо стало асимметричным? Это может быть не просто усталость — это сигналы проблем с височно-нижнечелюстным суставом (ВНЧС). Гнатолог в Днепре в стоматологии 32Дентал специализируется на диагностике и лечении таких нарушений, помогая тысячам пациентов вернуть комфорт в повседневной жизни. Если вы ищете эффективное лечение ВНЧС, мы предлагаем комплексный подход: от точной диагностики до индивидуальной терапии. Не терпите боль и дискомфорт — запишитесь на консультацию к гнатологу уже сегодня и почувствуйте облегчение!
Гнатология — это раздел стоматологии, который изучает работу всего зубочелюстного аппарата: жевательные мышцы, суставы, зубы, пародонт и даже кости черепа. Врач-гнатолог диагностирует патологии прикуса, дисфункции жевательных мышц и проблемы с ВНЧС, часто сотрудничая с ортодонтами и ортопедами. В 32Дентал наши специалисты сочетают несколько специализаций, чтобы решить проблему комплексно — от стирания эмали до хронических мигреней.
Признаки дисфункции височно-нижнечелюстного сустава: когда обращаться к гнатологу?
Многие пациенты игнорируют первые симптомы, думая, что «само пройдет». Но ранняя консультация гнатолога может предотвратить серьезные осложнения. Вот самые распространенные признаки заболеваний ВНЧС:
- Хруст, щелчки или боль в челюсти во время еды, разговора или зевания;
- Ограниченное открывание рта или «заедание» челюсти;
Боль, иррадирующая в голову, уши, шею или спину; - Головные боли, мигрени, звон в ушах;
- Асимметрия лица или изменение овала;
- Нарушение прикуса, стирание зубов, воспаление десен.
Причины могут быть врожденными или приобретенными: травмы, неправильный прикус, отсутствие зубов без протезирования, жевание на одну сторону или некачественное протезирование. Последствия? Нарушение пищеварения, дыхания, речи и даже хроническая боль. Если вы узнаете себя — не откладывайте!
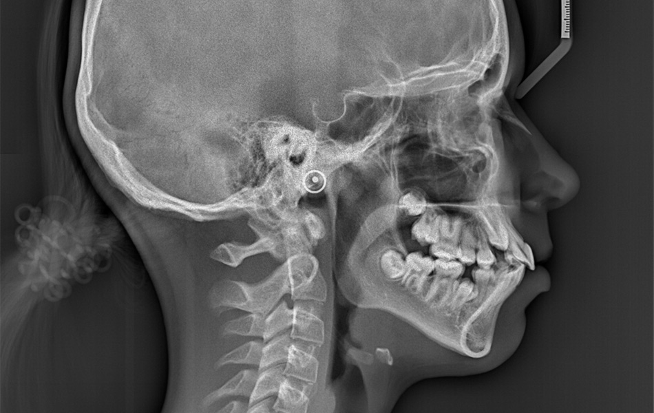
Диагностика ВНЧС: точность для быстрого выздоровления
В стоматологии 32Дентал диагностика заболеваний височно-нижнечелюстного сустава проходит на современном оборудовании. Наш гнатолог проводит:
- Подробный опрос и сбор анамнеза;
- Стоматологический осмотр полости рта;
- Анализ смыкания зубов в различных положениях;
- Рентгеновские снимки (КТ, ОПТГ) суставов с описанием.
Это позволяет точно определить причину и составить индивидуальный план. Многие пациенты говорят: «Наконец-то поняли, почему болит голова годами!»
Методы лечения ВНЧС в 32Дентал: индивидуальный подход для каждого
Лечение височно-нижнечелюстного сустава в 32Дентал — это сочетание консервативных и современных методов, без операций в большинстве случаев:
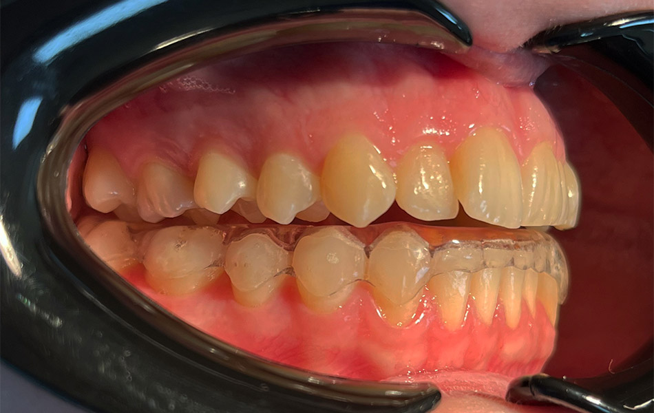
- Ограничение подвижности челюсти — специальные шины или сплинты для расслабления мышц;
- Массаж и упражнения — снятие гипертонуса жевательных мышц;
- Физиотерапия — электрофорез, ультрафонофорез для уменьшения боли и шумов;
- Медикаментозная терапия — препараты против боли и воспаления;
- Ортодонтическая коррекция — брекеты или элайнеры для исправления прикуса;
- Стоматологическое восстановление — лечение зубов, замена пломб/коронок, протезирование.
Гнатология: ответы на ключевые вопросы
Кто такой гнатолог и чем он занимается?
Гнатолог — это стоматолог-специалист высокого уровня, который занимается диагностикой и лечебным устранением нарушений в сложной системе: височно-нижнечелюстного сустава (ВНЧС), мышц челюсти, шеи и головы, а также зубов-антагонистов. Если вас беспокоят такие симптомы, как боль в челюсти, щелканье или хруст в суставе у уха, непроизвольное сжимание зубов, боли в лице, висках или голове, ограниченное открывание рта — это прямые показания для консультации гнатолога в Днепре.
Что делать, если трудно или больно открывать рот для лечения зубов?
Ограниченная подвижность челюсти часто является симптомом дисфункции ВНЧС или мышечного спазма. Пытаться проводить стоматологическое лечение в таком состоянии не только трудно, но и опасно, поскольку это может усугубить проблему. В такой ситуации первым шагом должен быть визит к гнатологу в стоматологию 32Дентал. Специалист выявит причину ограничения, назначит соответствующую терапию для разблокирования челюсти и только после восстановления функции составит безопасный план дальнейшего стоматологического лечения.
К какому врачу идти, если болит челюстной сустав возле уха?
При боли в области челюсти, сустава или перед ухом правильным выбором будет стоматолог-гнатолог. Обычные обезболивающие и противовоспалительные средства часто лишь временно приглушают симптом, не влияя на причину. Гнатолог проводит комплексное обследование (пальпация, анализ движений, при необходимости — специальная диагностика) для того, чтобы определить источник боли — это может быть сам сустав, мышцы или их сочетание — и назначить целенаправленное лечение.
Что делать, если после удаления зуба мудрости не открывается рот?
Ограничение открывания рта (тризм) после сложной экстракции зуба мудрости — распространенное явление, связанное с отеком, рефлекторным мышечным спазмом или началом воспалительного процесса. Однако важно исключить серьезные осложнения, такие как вывих сустава или травматическое повреждение мышц. Если тризм не уменьшается через 2-3 дня или усиливается, необходимо срочно обратиться к врачу — хирургу или гнатологу. Специалист оценит ситуацию, при необходимости проведет адекватное вмешательство (например, мышечная блокада) и даст инструкции для восстановления нормальной функции челюсти.
Почему стоит выбрать гнатолога в 32Дентал?
Мы не просто лечим симптомы – мы устраняем причину. Достоинства:
- Специалисты с несколькими специализациями (гнатология + ортопедия/ортодонтия);
- Современная диагностика с 3D-моделированием;
- Безболезненные процедуры и индивидуальный комфорт;
- Комплексный подход к профилактике рецидивов.
Прочтите отзывы наших пациентов: “Наконец-то могу жевать без боли и уверенно улыбаться!”
Наши гнатологи-ортопеды совмещают экспертизу, чтобы результат был быстрым и длительным. Пациенты отмечают: “Боль исчезла за месяц, а улыбка стала идеальной!”
Не позволяйте дисфункции ВНЧС портить жизнь — запишитесь на консультацию к гнатологу в Днепре в 32Дентал прямо сейчас! Получите детальный план и узнайте прайс. Ваше здоровье и комфорт – наш приоритет!









