Художня реставрація зубів у Дніпрі – нарощування зубів та естетичне відновлення в стоматології 32Дентал
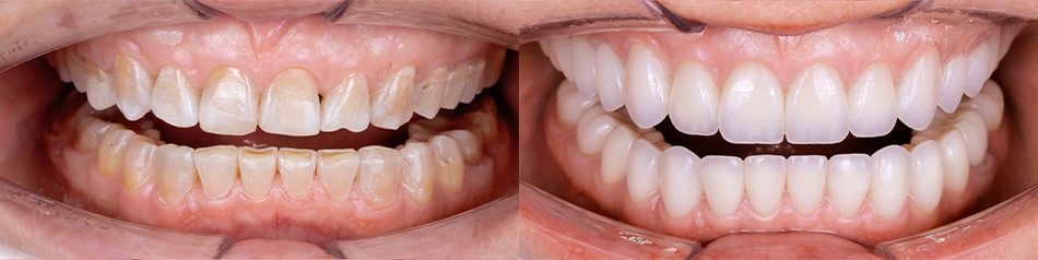
Художня реставрація зубів – це сучасний інноваційний підхід в естетичній стоматології, який дозволяє за один або кілька візитів повернути зубам природну красу та функціональність. За допомогою високоякісних фотополімерних матеріалів стоматолог точно відтворює анатомічну форму зубів, коригує їхній відтінок та усуває дефекти. У складних випадках застосовуються вініри – ультратонкі пластини з кераміки чи оксиду цирконію, що забезпечують ідеальний результат.
Ця процедура ефективно усуває сколи зубів, закриває великі проміжки (діастеми чи треми) та вирівнює колір зубного ряду. Результат виглядає абсолютно натурально, без жодних ознак втручання стоматолога, повертаючи впевненість у посмішці.
Що таке художня реставрація зубів
Художня реставрація зубів – це комплекс методів нарощування, заповнення та відновлення зуба, спрямованих на повернення йому здорової, природної форми та функціональності. Ці процедури мають переважно естетичне спрямування, але часто проводяться після лікування чи видалення зуба для повного відновлення.
Помітні пошкодження та дефекти зубів можуть спричиняти психологічний чи фізичний дискомфорт. Завдяки новітнім технологіям та сучасним композитним матеріалам художня реставрація (нарощування зубів) дозволяє усунути будь-які функціональні та естетичні недоліки зубного ряду. У клініці наші спеціалісти допоможуть виправити проблеми швидко та ефективно.
Показання до художньої реставрації зубів
Ми рекомендуємо процедуру реставрації фотополімерними матеріалами в таких випадках:
- Тріщини та сколи емалі будь-якого походження;
- Треми та діастеми (великі проміжки між зубами);
- Невелике викривлення зубів;
- Потемніння зон біля пломб та їх зношування;
- Усі види карієсу.
Реставрацію зубів радимо проводити, коли:
- Відтінок емалі не задовольняє: пожовтіння чи потемніння через ліки, куріння, каву, чай чи інші фарбуючі продукти;
- На фронтальній поверхні коронок видно каріозні плями;
- На коронках є сколи;
- Міжзубні проміжки надто великі, що псує естетику посмішки;
- Ріжучі краї коронок стерлися чи втратили прозорість.
Художня реставрація також показана при:
- Сколах та тріщинах емалі;
- Старих пломбах, що змінили колір;
- Карієсі;
- Некаріозних ураженнях (клиноподібний дефект, ерозія);
- Неправильній формі зуба;
- Змінах кольору зуба, темних плямах на емалі.
Художнє відновлення зубів у Дніпрі в стоматології 32Дентал
На відміну від звичайного пломбування, художнє відновлення зуба в 32Дентал забезпечує найвищі естетичні показники. Це досягається завдяки врахуванню індивідуальних особливостей пацієнта: відтінку та прозорості природної емалі, які варіюються залежно від частини коронки. Ближче до шийки тканини щільніші та менш прозорі, а біля краю – більш прозорі.
Наші спеціалісти враховують усі нюанси під час художньої реставрації зубів. Ціна такої роботи вища за звичайне пломбування, оскільки вимагає ювелірної точності, художнього смаку та більше часу.
Види реставрації зубів в 32Дентал
Реставрація – це не єдиний метод, а комплекс процедур для відновлення функціональності та естетики зубів. Вибір залежить від стану зубів та побажань пацієнта, який визначає стоматолог після огляду та рентгену.
Основні види:
- Композитна реставрація зубів – покриття передньої стінки чи частини зуба композитним матеріалом. Підходить для покращення відтінку емалі, закриття тріщин, дрібних сколів та інших невеликих дефектів.
- Нарощування зубів на штифт – відновлення форми за допомогою фотополімерного матеріалу при стертості, великих сколах чи руйнуванні через карієс. Може бути альтернативою коронці. Іноді вимагає видалення нервів та встановлення штифта в корінь для фіксації.
Процес художньої реставрації та нарощування зубів подібний: використовується композитний (фотополімерний) матеріал, що наноситься пошарово.
Як проводиться художня реставрація зубів
Процедура проводиться так:
- Лікар визначає оптимальний метод реставрації.
- Підбирає відтінок матеріалу, щоб він збігався з кольором зубів (або світліший при реставрації всього ряду).
- За бажанням пацієнта застосовується анестезія (процедура безболісна).
- Препарація зуба: очищення від старих пломб тощо.
- Безпосередня реставрація чи нарощування: пошарове нанесення композиту з затвердінням ультрафіолетовою лампою для відтворення форми.
- Оцінка результату з пацієнтом, корекція та полірування.
Пряма реставрація триває один сеанс (від 1 до кількох годин залежно від кількості зубів). При карієсі чи штифті – попередні процедури.
Переваги:
- Безболісність (анестезія при чутливості);
- Щадний вплив на зуби;
- Доступна ціна.
Часті питання про реставрацію зубів
Що таке реставрація зубів?
Реставрація зубів – метод відновлення функціональних та естетичних властивостей зубів, втрачених через травми, сколи, потемніння, випадіння чи інші причини. В 32Дентал ми пропонуємо швидкі та доступні методи для ідеальної посмішки.
Скільки коштує реставрація зубів?
Ціна залежить від методу: фотополімерна реставрація доступніша, вініри чи кераміка – дорожчі. Враховуйте плюси та мінуси кожного – ми допоможемо обрати оптимальний.
Скільки коштує реставрація передніх зубів?
Це індивідуально: фотополімером – дешевше. Після консультації розрахуємо точну ціну.
Що таке естетична реставрація зубів?
Естетична реставрація – повернення краси посмішці. Стоматолог усуває дефекти матеріалами чи вкладками, щоб зуб виглядав натурально та функціонував ідеально.
Що таке пряма реставрація зубів?
Пряма реставрація – використання світлотвердіючих композитів за один візит. Плюси: низька ціна, швидкість, корекція кольору та форми
Переваги проведення естетичних послуг для зубів у стоматології 32Дентал
32Дентал – сучасна стоматологія в Дніпрі, де вирішують будь-які стоматологічні проблеми швидко та якісно. Наші переваги:
- Розвиток та обладнання: Оснащення діагностичним та хірургічним обладнанням останнього покоління, робота з сучасними матеріалами та протоколами.
- Безпека: Сертифіковані препарати, ефективні анестетики без побічних ефектів для найкращих результатів та швидкого відновлення.
- Експертність: Лікарі володіють класичними та сучасними методиками, постійно навчаються на конференціях.
- Індивідуальний підхід: Персоналізоване лікування з урахуванням побажань, патології та бюджету.
Естетична стоматологія в 32Дентал – доступні ціни, найкращі фахівці, гарантія результату! Сучасний інтер’єр клініки 32Дентал – комфорт та професіоналізм. Шукаєте “художня реставрація зубів Дніпро відгуки”, “нарощування зубів ціна Дніпро” чи “реставрація передніх зубів Дніпро”? Стоматологія 32Дентал – ваш вибір для натуральної посмішки! Запишіться на консультацію онлайн або за телефоном, отримайте персональний план та акційну пропозицію. Відновіть красу зубів вже сьогодні – чекаємо на вас!
