Лікування пульпіту в Дніпрі. Стоматологія 32Дентал
Пульпіт — це запальний процес у пульпі зуба (нервно-судинного пучка), що розташована в середині зубних каналів. Ця патологія найчастіше виникає як ускладнення глибокого карієсу, коли інфекція проникає до внутрішніх тканин, а також через травми або запущені інфекції.
Перебіг захворювання може бути гострим або хронічним. Гострий пульпіт характеризується інтенсивним пульсуючим болем, який часто посилюється вночі, при зміні температури (від холодного чи гарячого) або при накушуванні. Хронічна форма може супроводжуватись періодичним дискомфортом, поступовим потемнінням емалі та нудьгуючими відчуттями, які багато пацієнтів тривалий час ігнорують.
Симптоми та причини виникнення пульпіту
Пульпіт є серйозним захворюванням, яке має чітку клінічну картину. Розпізнання симптомів на ранній стадії дозволяє вчасно звернутися до стоматолога та уникнути важких ускладнень. Ось характерні ознаки запалення зубного нерва:
Основні симптоми пульпіту
- Інтенсивний пульсуючий біль. Це ключовий симптом, який відрізняє пульпіт від глибокого карієсу. Біль може тривати від 30 хвилин до декількох годин, часто посилюючись у горизонтальному положенні або вночі. Він має властивість ірадіювати — віддавати в сусідні зуби, скроні, вухо, горло або навіть поширюватися на всю щелепу, що ускладнює самостійне визначення проблемного зуба.
- Хронічний ниючий дискомфорт. Навіть у періоди затиштя може зберігатися відчуття важкості або нудьги в зубі, що свідчить про активний хронічний запальний процес.
- Гіперчутливість зубних тканин. Зуб стає надзвичайно реактивним на подразники: різкі перепади температур (холодна вода, гаряча їжа), солодке, кисле або солоне. Характерно, що біль не зникає відразу після усунення подразника, як при карієсі, а триває ще деякий час.
- Системна реакція організму. У складних випадках, коли інфекція поширюється, можуть з’являтися ознаки загальної інтоксикації:
Збільшення лімфатичних вузлів (частіше під нижньою щелепою) — сигнал про боротьбу імунної системи.
Субфебрильна температура тіла (до 37,5–38 °C).
Загальна слабкість, нездужання та зниження працездатності. - Локальні ознаки запалення. Можуть виникати болючі відчутти в яснах навколо проблемного зуба, легкий набряк, а також неприємний гнильний запах з рота, спричинений розпадом тканин пульпи.
Чому виникає запалення нерва зуба? Основні причини пульпіту
Запалення пульпи ніколи не виникає саме по собі. Це завжди наслідок впливу певного агресивного фактора. У стоматологічній практиці клініки 32Дентал у фахівці виділяють наступні ключові причини:
1. Глибокий або невилікований карієс. Це найпоширеніша причина. Карієсогенні бактерії поступово руйнують емаль і дентин, формуючи глибоку порожнину. Коли ця порожнина досягає пульпової камери, інфекція безперешкодно проникає в м’які тканини, викликаючи їхнє гостре запалення. Без лікування карієс неминуче призводить до пульпіту.
2. Механічна травма зуба. Це може бути:
- Удар або вибиття зуба (часткове або повне), що призводить до розриву судинно-нервового пучка.
- Скол або перелом коронки з оголенням пульпи.
- Поступова травма при патологічному стиранні зубів (бруксизм) або неправильному прикусі.
3. Несвоєчасне звернення до стоматолога. Відкладання візиту при наявності карієсу або дискомфорту — прямий шлях до ускладнень. Пульпіт є логічним етапом прогресування каріозного процесу.
4. Ятрогенні причини (пов’язані з лікуванням). Іноді пульпіт може виникнути через помилки або ускладнення під час стоматологічних маніпуляцій:
- Перегрів твердих тканин при підготовці порожнини під пломбу без належного водяного охолодження.
- Некоректно встановлена пломба, яка тисне на пульпу або пропускає мікроорганизми.
- Недостатня санація глибокої каріозної порожнини, коли під пломбою залишаються інфіковані тканини, що продовжують руйнувати зуб.
- Використання агресивних антисептиків або токсичних матеріалів при лікуванні глибокого карієсу.
У стоматології 32Дентал лікарі приділяють особливу увагу профілактиці пульпіту та його діагностиці на ранніх стадіях. При виникненні будь-яких з перерахованих симптомів, звернення до фахівця є обов’язковим для збереження зуба та запобігання розвитку періодонтиту. Ціна на лікування пульпіту завжди індивідуальна та залежить від складності випадку та обраного методу терапії.
Показання та етапи лікування пульпіту в стоматології 32Дентал
Лікування пульпіту в нашій клініці проводиться при чітких показаннях, що підтверджують запалення нервово-судинного пучка всередині зуба. Наявність таких симптомів вимагає термінового звернення до стоматолога:
- Гострий пульсуючий або хронічний ниючий біль у зуби, який часто посилюється у лежачому положенні та вночі.
- Тривала підвищена чутливість зуба до гарячого та холодного, коли біль не стихає одразу після припинення впливу подразника.
- Помітний набряк і почервоніння ясен навколо проблемного зуба.
- Візуальна зміна кольору емалі (сірий, темний відтінок).
- Поява невеликої гнійної ексудації з-під ясен – ознака гнійного процесу.
При виявленні цих симптомів лікування пульпіту є обов’язковим для зняття болю та запобігання ускладненням.
Процес лікування пульпіту в стоматології 32Дентал
Лікування проводиться поетапно, що забезпечує системний підхід і сталий результат.
1. Консультація та діагностика
Первинний прийом включає детальне обговорення симптомів та огляд. Для точної діагностики ми проводимо візіографічне дослідження – цифровий рентген-знімок, що дозволяє оцінити:
- Ступінь пошкодження та кількість кореневих каналів.
- Стан тканин навколо верхівки кореня.
На основі цих даних розробляється індивідуальний план лікування.
2. Знеболення
Уся процедура проходить абсолютно комфортно. Перед початком роботи проводиться місцева анестезія, яка повністю усуває будь-які відчуття під час лікування.
3. Основне лікування (ендодонтична терапія)
Це ключовий етап, спрямований на повну ліквідацію інфекції:
- Виділення зуба за допомогою коффердаму для ізоляції від вологи та слини.
- Доступ до кореневих каналів та ретельне видалення запаленої пульпи спеціальними інструментами.
- Механічна обробка та медикаментозна промівка каналів антисептиками для їх дезінфекції.
- Щільне пломбування каналів гуттаперчею та силантом для герметизації.
- Відновлення коронкової частини зуба фотополімерною пломбою або, при значному руйнуванні, мікропротезом (вкладкою) чи коронкою.
Лікування пульпіту в нашій клініці дозволяє ефективно усунути інфекцію, зберегти власний зуб та відновити його функцію на багато років. Вартість лікування формується індивідуально після діагностики та залежить від складності випадку.
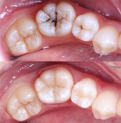
Лікування карієсу та видалення уражених тканин зуба
Процес лікування карієсу в стоматологічній клініці 32Дентал починається з ретельного видалення всіх ділянок емалі та дентину, які були пошкоджені бактеріями. Після цього тактика лікування залежить від стану внутрішньої частини зуба — пульпи (нерва).
- Якщо пульпа злегка запалена, наші лікарі вдаються до біологічного методу лікування. Ця консервативна тактика спрямована на збереження живого нерва. На уражену ділянку накладаються спеціальні лікувальні прокладки з протизапальними та ремінералізуючими препаратами, після чого зуб надійно закривається тимчасовою пломбою. Якщо під час наступного візиту контроль підтверджує, що запалення вдалося зупинити, тимчасова пломба замінюється на постійну та якісну реставрацію. Для закріплення успішного результату після такого лікування важливо проходити профілактичний огляд у стоматолога не рідше одного разу на рік.
- Якщо запалення пульпи (пульпіт) є глибоким, потрібне хірургічне втручання — ендодонтичне лікування. Воно буває двох видів:
- Пульпотомія: коли видаляється лише коронкова, уражена частина нерва, а здорові кореневі канали залишаються недоторканими для збереження життєздатності зуба.
- Пульпектомія: процедура повного видалення пульпи з коронкової порожнини та всіх кореневих каналів. Для цього наші фахівці використовують сучасні тонкі інструменти та, за необхідності, спеціальні препарати для м’якої обробки каналів.
Наступним обов’язковим етапом після видалення пульпи є ретельна дезінфекція. Кореневі канали промиваються потужними антисептичними розчинами для повного знищення бактерій та попередження повторного запалення.
Після очищення проводиться кореневе пломбування (обтурація каналів). Ця ключова процедура полягає в щільному заповненні підготовленого простору кореня спеціальним стерильним матеріалом (зазвичай гуттаперчею), що створює надійний герметичний бар’єр. Саме це є головним засобом запобігання вторинній інфекції та розвитку таких ускладнень, як кіста на корені зуба.
Остаточний етап відновлення зуба — відновлення його форми та функції. Залежно від обсягу пошкоджень, лікарі 32Дентал можуть запропонувати:
- Встановлення міцної постійної фотополімерної пломби.
- Відновлення зуба за допомогою мікропротеза (вініра або вкладки).
- Накриття зуба керамічною або цирконієвою коронкою, що особливо рекомендується для сильно зруйнованих зубів після лікування каналів, щоб запобігти їхньому розколу.
Сучасна діагностика — основа успішного лікування
Першим і найважливішим кроком у плануванні будь-якого лікування є точна діагностика. У стоматологічній клініці ми не обмежуємося лише зовнішнім оглядом. Для підтвердження діагнозу та складання детального плану лікування наші лікарі обов’язково проводять променеву діагностику:
- Комп’ютерна томографія (КТ) дає об’ємне 3D-зображення щелепи, дозволяючи оцінити стан коренів, навколишніх кісток, гайморової пазухи та виявити приховані запальні вогнища.
- Візіографія дозволяє отримати чітке цифрове зображення конкретного зуба з мінімальною дозою опромінення.
Ці дослідження стають вкрай важливими в разі необхідності перелікування кореневих каналів після неякісного попереднього лікування. Крім того, адекватна діагностика критично необхідна для того, щоб виявити всі кореневі канали. Особливо це стосується бічних зубів (молярів та премолярів), у яких кількість каналів може коливатися від 3 до 6, а іноді буває й більше. Пропуск одного каналу призводить до неуспішного лікування та розвитку ускладнень.
Небезпека ускладнень: що буде, якщо не лікувати пульпіт?
Відкладання візиту до стоматолога при симптомах пульпіту — це серйозний ризик для здоров’я. За відсутності своєчасного лікування зубів, інфекція з пульпи продовжує поширюватися, що може призвести до низки небезпечних ускладнень:
- Періодонтит. Це логічне продовження нелікованого пульпіту. Інфекція через кореневі канали виходить за межі зуба та вражає навколишні м’які тканини — періодонт, що утримує корінь у кістковій лунці. Це призводить до сильного болю при накушуванні, відчуття «виростучого» зуба та може закінчитися його втратою.
- Поява флюсу (періоститу). Захворювання характеризується гострим запальним процесом у надкісниці (періості) — сполучнотканинної оболонки, що покриває кістку щелепи. Клінічно це проявляється сильним набряком щоки, болем та підвищенням температури тіла.
- Флегмона. Ще більш загрозливим ускладненням є розвиток флегмони — гострого гнійного запалення підшкірної жирової клітковини, яке не має чітких меж. Це стан, що загрожує життю та вимагає негайного хірургічного втручання в стаціонарі.
- Остеомієліт щелепи. При такій важкій патології інфекція проникає глибоко в кісткову тканину самої щелепи, викликаючи її деструкцію (руйнування). Лікування остеомієліту тривале та складне, часто потребує системної антибіотикотерапії та операції.
Кожен з цих станів є серйозною загрозою не лише для здоров’я порожнини рота, але й для організму в цілому, адже хронічний інфекційний вогнище підриває імунітет.
Переваги лікування пульпіту в стоматологічній клініці 32Дентал
Якщо ви відчуваєте тривалий біль у зубі, посилюваний вночі або від гарячого, не зволікайте. Звертаючись до нашої клініки, ви отримуєте комплексний підхід та гарантію якісного результату. Нашими ключовими перевагами є:
- Команда експертів. Лікування проводять досвідчені лікарі-ендодонтисти, які спеціалізуються саме на роботі з кореневими каналами.
- Висока точність діагностики. Ми використовуємо комп’ютерну томографію (КТ), яка дозволяє точно оцінити будову каналів, виявити усі ускладнення та виключити інші захворювання зі схожими симптомами.
- Сучасні технології та матеріали. Для роботи застосовуються передові інструменти, включаючи машинні ендодонтичні системи для ідеальної обробки каналів, та якісні пломбувальні матеріали (гутаперча, біосери) для їх надійної обтурації.
- Обов’язкова ізоляція кофердамом. Використання латексного платочка для ізоляції зуба — стандарт процедури. Це запобігає потраплянню бактерій із слини в канали та захищає ваш рот від лікарських препаратів.
- Мікроскопія. Робота під потовщуючим мікроскопом — золотий стандарт сучасної ендодонтії. Він дозволяє лікарю бачити найдрібніші деталі, знаходити додаткові канали та проводити лікування з ювелірною точністю.
- Повний комфорт. Ми гарантуємо ефективне знеболювання. Для пацієнтів з панікою або при необхідності складного та тривалого лікування пульпіту існує можливість проведення всіх маніпуляцій уві сні (під седацією).
Не ризикуйте своїм здоров’ям! Проконсультуйтеся з нашими спеціалістами в телефонному режимі та/або запишіться на прийом онлайн в стоматологію 32Дентал у Дніпрі для точного діагнозу та ефективного лікування.
Поширені запитання про лікування пульпіту
У нашій стоматологічній клініці ми розуміємо, що у пацієнтів виникає багато питань щодо лікування пульпіту. Ми зібрали найактуальніші з них, щоб ви могли отримати чіткі та професійні відповіді.
Як довго болить зуб після лікування пульпіту?
Незначні болючі відчуття або дискомфорт у зубі після завершення ендодонтичного лікування — це нормальна реакція організму на хірургічне втручання. Зазвичай такі симптоми повністю зникають протягом кількох днів, але в окремих випадках чутливість може зберігатися до місяця, особливо при накушуванні.
Важливо: Якщо біль посилюється, стає пульсуючим або супроводжується набряком, це сигнал негайно звернутися до свого лікаря в стоматології 32Дентал для з’ясування та усунення причини.
Чим небезпечний пульпіт та чому його не можна ігнорувати?
Лікування пульпіту не можна відкладати, оскільки захворювання ніколи не проходить самостійно. Без своєчасної терапії інфекція прогресує та вражає здорові тканини. Найпоширенішим і серйозним наслідком є періодонтит, при якому руйнується кісткова тканина навколо кореня, формуються гнійні кишені, що веде до розхитування та втрати зуба. Набагато простіше, швидше та економніше усунути пульпіт на початковій стадії, ніж лікувати його ускладнення.
Як тимчасово зняти симптоми пульпіту до візиту до лікаря?
До моменту відвідування стоматології ви можете тимчасово полегшити стан:
- Домашні засоби: Допомагають полоскання теплим відваром шавлії, звіробою або сольово-содовим розчином (по 1 ч.л. на склянку води).
- Медикаменти: Можна прийняти безрецептурні знеболювальні та протизапальні препарати з групи НПЗЗ.
Увага: Ці засоби лише тимчасово приглушають симптоми, але не лікують причину. Категорично не рекомендується самостійно приймати антибіотики — їх призначає тільки лікар після діагностики.
Чи можна вилікувати пульпіт за один прийом у стоматології?
Так, у переважній більшості випадків сучасне лікування пульпіту можливе за один прийом. Наші лікарі, використовуючи мікроскоп та передове обладнання, проводять повну механічну і медикаментозну обробку каналів з їх одночасним пломбуванням. Проте, якщо в каналах присутній інтенсивний гнійний запальний процес, лікар може встановити в порожнину спеціальні ліки та закрити зуб тимчасовою пломбою на кілька днів для повного зняття запалення. Постійне відновлення проводиться на наступному візиті. Таким чином, в середньому, лікування пульпіту в клініці 32Дентал займає 1-2 відвідування.
Як відбувається стандартне лікування пульпіту?
Сучасне лікування пульпіту в нашій клініці включає чіткий алгоритм:
- Видалення запаленої пульпи (нерва) з коронкової частини та всіх кореневих каналів.
- Інструментальна та медикаментозна обробка каналів для їх розширення та дезінфекції.
- Щільне тривимірне пломбування кореневих каналів спеціальним матеріалом (гутаперчею).
- Відновлення коронкової частини зуба фотополімерною пломбою, вкладкою або коронкою.
Скільки коштує лікування пульпіту зуба в Дніпрі?
Вартість лікування пульпіту не є фіксованою. Ціна формується індивідуально та залежить від двох ключових факторів:
- Кількість кореневих каналів у зубі (від 1 у різцях до 3-4 і більше у жувальних зубах).
- Стадія та складність запального процесу (горий, хронічний, наявність кісти тощо).
Точну вартість лікування наш лікар розрахує для вас після проведення комп’ютерної томографії та огляду.
Які ризики, якщо не лікувати пульпіт?
Відмовляючись від лікування, пацієнт ризикує не лише втратою зуба. Основними ризиками є:
- Розвиток періодонтиту з руйнуванням кісткової тканини.
- Поширення інфекції з розвитком флюсу (періоститу), абсцесу або флегмони — розлитого гнійного запалення, небезпечного для життя.
- Формування кісти на корені зуба.
- Виснаження імунітету через постійний інфекційний вогнище в організмі.
