Вініри у Дніпрі: композитні, керамічні та цирконієві в стоматології 32Дентал
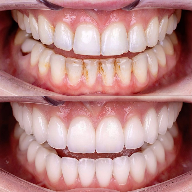
Вініри — це тонкі керамічні або композитні пластинки, які фіксуються на передній поверхні зубів для поліпшення естетики усмішки. У стоматологічній клініці 32Дентал ми пропонуємо професійну установку вінірів у Дніпрі, щоб ви могли отримати голлівудську посмішку швидко та безболісно. Вініри – найтонші пластинки з кераміки або композитних матеріалів, які фіксуються на передній частині зуба за допомогою безбарвного стоматологічного цементу. Завдяки
широкій палітрі природних відтінків вони створюють ефект натурального зуба, який ідеально вписується в зубний ряд пацієнта. Вініри не зачіпають внутрішню структуру зуба, тому є абсолютно безпечними. Вони стійкі до пігментації та зберігають свій блиск протягом багатьох років, даруючи впевненість та комфорт при спілкуванні.
Вініри у Дніпрі:
Всі вініри можна розділити на три великі групи: композитні вініри, керамічні вініри, цирконієві вініри.
Керамічні вініри
Тонкі (менше міліметра) пластинки, які накладаються на попередньо підготовлений зуб і кріпляться спеціальним цементом. Сам керамічний вінір виготовляється в зуботехнічній лабораторії (за зліпком із зубів пацієнта), де
йому надається необхідний колір і форма. Вони повторюють рельєф і колір ваших зубів або мають бажаний відтінок, якщо йдеться про встановлення вінірів для виправлення кольору фронтальних зубів. Їх виготовленням займається лабораторія, тому потрібно кілька відвідувань стоматолога для встановлення. Керамічні вініри відрізняються міцністю та довговічністю. Їхній термін служби становить близько 10 років, при цьому, з часом вони не змінюють свій відтінок.
Композитні вініри
Виконуються з пластичної стеклокерамічної маси, яка наноситься прямо на зуб пацієнта, після чого їй надається бажана форма і відбувається затвердіння в світлі спеціальної поляризаційної лампи. Ключова відмінність прямих вінірів від аналогів (керамічних, композитних, люмінірів) – це виготовлення за 1 сеанс без попередньої підготовки зуба.
Переваги композитних вінірів:
Процедура накладення композитних вінірів НЕ ПОТРЕБУЄ:
- Зняття зліпків з зубів – економія часу завдяки можливості установки вінірів за 1 сеанс;
- Обточування зубів, зняття шару емалі – живі зуби жодним чином не пошкоджуються;
- Анестезії або будь-якого іншого виду знеболювання – процедура безболісна.
Кілька візитів до лікаря може знадобитися тільки в тому випадку, якщо необхідно нанести композитні вініри на велику кількість зубів. Ми використовуємо високоякісні фотополімерні матеріали провідних виробників зуботехнічних матеріалів. Ніяких знеболюючих уколів! Ніяких неприємних дзижчань! Установка прямих вінірів – це не лікувальна, а естетична маніпуляція! І найголовніше – Ви в будь-який момент можете зняти вініри, скорегувати їх форму і колір! Це абсолютно безболісно і дуже швидко!
Композитні вініри в Дніпрі стійкі до стирання, потемніння та зміни кольору, зберігають природний вигляд зубів за умови своєчасного догляду та дотримання рекомендацій лікаря щодо регулярної гігієни й планових оглядів. Неякісна реставрація може виглядати неестетично або з часом потемніти. Вініри цю проблему з легкістю усувають. Вони чудово приховують зуби, що змінили колір через флюороз, прийом тетрацикліну або ендодонтичне лікування.
Ціна установки композитних вінірів менше, ніж керамічних, через меншу трудомісткість процесу. Якщо ви дбаєте про красу своїх зубів і при цьому не хочете часто відвідувати стоматологічний кабінет,
задумайтеся про методику прямих вінірів! Ми пропонуємо унікальну технологію постановки прямих вінірів – без спилювання зубів і без анестезії.
Переваги керамічних вініріві:
Керамічні вініри, незважаючи на більш тривалий процес установки, мають ряд переваг:
- Керамічний вінір не відрізняється від справжнього зуба завдяки частковій прозорості, що дозволяє променям світла проникнути крізь вінір і відбитися від тканин зуба;
- На керамічних вінірах не залишається плям – їх керамічна поверхня гладка і непроникна для харчових барвників;
- Мінімально необхідне препарування зуба;
- Довговічність;
- Стійкість до зношування та пігментації.
Цирконієві вініри
Цирконієві вініри виготовляються з діоксиду цирконію, матеріалу, відомого своєю винятковою міцністю та біосумісністю. Завдяки високій міцності діоксиду цирконію, такі вініри можуть служити десятиліттями без втрати естетичних та функціональних властивостей. Ще однією важливою перевагою є природний вигляд. Цирконієві вініри мають високу прозорість, що дозволяє їм імітувати природну зубну емаль. Це робить їх ідеальним рішенням для пацієнтів, які прагнуть отримати бездоганну усмішку. Крім того, цирконієві вініри не змінюють свій колір з часом, що дозволяє зберегти бездоганний вигляд навіть при регулярному вживанні кави, чаю або червоного вина.
Показання для встановлення вінірів
- Міжзубні проміжки;
- Сколи ріжучого краю зуба;
- Тріщини на емалі;
- Плями, потемніння емалі, жовті зуби;
- Нерівні, скручені, короткі/довгі зуби;
- Ясенна посмішка;
- Приховати потемнілі старі пломби, тетрациклінові плями, відколи та тріщини на емалі;
- Усунути щілини між зубами;
- Візуально вирівняти зуби (у випадках, коли ортодонтичне лікування не є обов’язковим).
Переваги вінірів:
- Природний вигляд: Вініри мають прозорість та блиск, схожий на натуральну емаль, що робить усмішку природною та привабливою.
- Довговічність: Вініри стійкі до пігментації від кави, чаю та інших продуктів, а також зберігають свій колір та блиск протягом багатьох років.
- Мінімальне втручання: Підготовка до встановлення вінірів потребує мінімального обточування зубів, що зберігає їхню внутрішню структуру.
- Догляд за вінірами такий самий, як і за своїми зубами. Не забувайте про професійну гігієну у стоматолога двічі на рік.
- Регулярне чищення зубів щіткою та використання зубної нитки допоможуть зберегти блиск та колір вінірів. Також рекомендується уникати надмірного вживання фарбувальних напоїв та відкривання твердих предметів зубами. Дбайте про вініри правильно — і ваша усмішка залишатиметься ідеальною на довгі роки!
Етапи встановлення вінірів в стоматології 32Дентал:
Встановлення композитних вінірів:
- Огляд ротової порожнини, санація.
- Вибір відповідного відтінку матеріалу.
- Препарування зуба — зняття невеликої кількості тканин.
- Обробка зуба спеціальним розчином, який забезпечує кращу адгезію матеріалу з тканинами.
- Пошарове нанесення композитного матеріалу, кожен шар засвічується спеціальною лампою до затвердіння.
- Поліровка вініру.
Встановлення керамічних вінірів:
- Огляд ротової порожнини, санація.
- Вибір відповідного відтінку в лінійці виробника.
- Препарування зуба — зняття невеликої кількості тканин.
- Виготовлення зліпка для створення вініру в лабораторії.
- Встановлення тимчасової накладки для захисту препарованого зуба на час виготовлення вініру в лабораторії.
- Примірка готової пластини, при необхідності, її корекція.
- Фіксація вінірів на спеціальний матеріал.
Історії перетворення ваших посмішок
Встановлення вінірів
Робила вініри в стоматології – тепер не можу надивитися на свою посмішку в дзеркалі! Обслуговування на найвищому рівні, всім рекомендую цю клініку.
Дар'я Онуфрієнко
Нарощування зуба
Чудова клініка! За всього годинку швидко та професійно зробили нарощування зуба. Дуже задоволена результатом.
Дар'я Онуфрієнко
Загальне враження від клініки
Прекрасні враження від клініки! Уважний і турботливий персонал, стильний інтер’єр, сучасне обладнання та матеріали. Клієнтоорієнтованість на найвищому рівні. Рада, що обрала вашу команду!
Світлана К
Видалення зуба після травми
Через травму стався перелом зуба біля кореня. Рекомендували видалення. Процедура пройшла блискавично, завдяки досвідченому фахівцю та якісній анестезії – жодного болю. Рекомендую стоматологію!
Robby Bobby
Встановлення брекетів
Встановлювали брекети синові-підлітку і за порадою Лаури Віталіївни обрали практичний варіант — металеву систему з кольоровими лігатурами, за якою простіше доглядати. Регулярно ходимо на огляди, і лікарка завжди детально пояснює, як просувається лікування. Ми бачимо, що зуби поступово вирівнюються, і дуже задоволені процесом.
Наталя
Видалення зуба
Думав, що видалення буде болючим, але все пройшло швидко та непомітно. Лікар детально пояснював кожен етап, що дуже заспокоювало. Після процедури дали чіткі рекомендації – відновлення минуло ідеально.
Микола Самойлов
Встановлення вінірів та профілактика
Чудова клініка з кваліфікованими лікарями. Обслуговуємося всією сім’єю: чоловік став вініри (дуже задоволений), дитина на регулярному огляді. Привітний персонал, індивідуальний підхід та приємне співвідношення ціни й якості.
Олександра Сергєєва
Видалення зуба
Звернувся до 32Dental з гострим болем – лікар запропонував видалення. Процедура легка, дали чіткі рекомендації. Тепер все добре! Дякую!
Влад По
Часті питання про вініри
Особливості вінірів Emax?
Керамічні вініри Emax створюють з нового матеріалу, який дозволяє зробити вінір дуже тонким, міцним, стійким до зношування, що точно повторює відтінок і прозорість натуральної емалі зуба.
Що таке композитні вініри?
Композитні або прямі вініри створюються з якісного світлополімерного матеріалу безпосередньо в ротовій порожнині пацієнта. Завдяки цій методиці можна створити голлівудську посмішку всього за 1 відвідування стоматолога.
Чи потрібно обточувати зуби перед встановленням вінірів?
Завдяки новітньому протоколу та напрацюванням наших лікарів вініри можна встановлювати з мінімальною обробкою 0,2 мм або без обробки натуральних зубів!
Яка є більш доступна альтернатива вінірам?
Композитні реставрації можуть бути альтернативою. В цьому випадку проводиться виготовлення вініру в ротовій порожнині з композитного матеріалу, який полімеризується фотополімерною лампою.
Як правильно доглядати за керамічними вінірами?
Зуби, на яких зафіксовані вініри, не потребують особливого догляду. Рекомендується професійна гігієна 1 раз на пів року.
Не відкладайте перетворення своєї усмішки — запишіться на консультацію з установки вінірів у Дніпрі в 32Дентлал прямо зараз!
Отримайте індивідуальний план лікування та дізнайтеся прайс та відгуки. Ваша ідеальна усмішка чекає!





