Лікування періодонтиту в Дніпрі, cтоматологія 32Дентал
Що таке періодонтит?
Періодонтит — це серйозне запальне захворювання тканин (періодонту), що оточують корінь зуба та утримують його в кістковій лунці. Його провокує інфекція, яка призводить до розриву зв’язок, поступового руйнування кісткової тканини навколо кореня та кортикальної пластинки. Клінічно це виявляється у вигляді почервоніння і набряку ясен, формування гнійного вогнища (абсцесу) під коренем зуба та сильного, часто пульсуючого болю, що посилюється при накушуванні.
Не відкладайте лікування!
Періодонтит – це проблема, яка ніколи не проходить сама по собі. Чим раніше ви розпочали лікування періодонтиту, тим більше шансів зберегти зуб та уникнути небезпечних ускладнень. Якщо його ігнорувати, хронічне запалення неминуче призведе до втрати зуба, а також може стати причиною серйозних наслідків для всього організму, таких як поширення інфекції на щелепу та інші органи.
Причини виникнення періодонтиту
Розвиток захворювання завжди пов’язаний з проникненням патогенної мікрофлори в простір навколо верхівки кореня. Основні причини:
- Глибокий карієс, що перейшов у пульпіт, коли інфекція з камері пульпи поширюється через кореневі канали далі.
- Неякісне попереднє пломбування кореневих каналів, коли вони оброблені не на всю довжину або заповнені неплотно, що залишає простір для розмноження бактерій.
- Ускладнення нелікованого пульпіту — найпоширеніший сценарій.
- Травма зуба (удар, надлам), яка призводить до пошкодження судинно-нервового пучка та подальшого запалення.
У рідкісних випадках зустрічаються алергічний або токсичний періодонтит, спричинений потраплянням у періодонт сильнодіючих хімічних речовин (наприклад, під час неправильного лікування).
Стадії хронічного періодонтиту
Захворювання може мати гострий перебіг з вираженими симптомами або перейти в хронічну форму, яка часто проходить непомітно, але руйнівно діє на кістку. Хронічний періодонтит має три послідовні стадії:
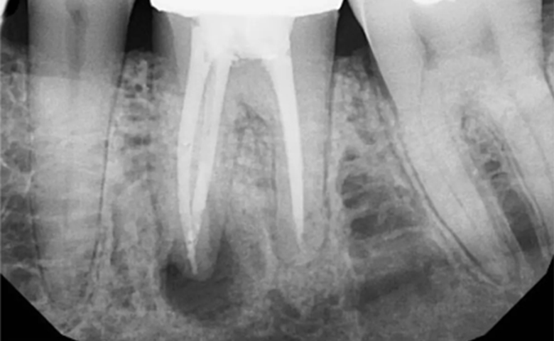
- Фіброзна стадія. Це початкова форма, для якої характерні рідкісний та незначний біль або дискомфорт. На рентгені видно незначне розширення періодонтальної щілини. Тканини навколо кореня поступово заміщуються щільною фіброзною (рубцевою) тканиною.
- Гранулююча стадія. Найбільш активна форма. Вона характеризується постійним болями, набряком ясен, часто з’являється свищ із гнійними виділеннями. На рентгені чітко видно ділянку руйнування (розрідження) кісткової тканини неправильної форми без чітких меж.
- Гранулематозна стадія. На цій стадії організм намагається ізолювати інфекційний вогнище, формуючи навколо верхівки кореня щільну капсулу — гранульому або кісту, заповнену гноєм. Біль може бути менш вираженим, але це не означає одужання. Кістка продовжує руйнуватися, утворюючи велику порожнину, що серйозно загрожує цілісності зуба.
Симптоми періодонтиту: як розпізнати гостру та хронічну форму
Клінічні прояви цього запального захворювання залежать від його форми та стадії розвитку. Розрізняють гострий та хронічний перебіг, які мають суттєві відмінності в симптоматиці.
Симптоми гострого періодонтиту
Гострий процес завжди проявляється яскраво та болісно, вимагаючи негайної стоматологічної допомоги. До його характерних ознак відносяться:
- Інтенсивний, часто пульсуючий біль, який має чітку локалізацію. Біль може наростати, посилюватись від найменшого доторку до зуба та часто переходити в постійний ниючий.
- Відчуття «виростучого» зуба арозпирання в яснах. Цей симптом виникає через підвищення тиску в замкненому просторі періодонта внаслідок запалення та утворення ексудату.
- Різка болючість при накушуванні та практична неможливість доторкнутися до зуба язиком або їжею.
- Припухлість та почервоніння ясен в ділянці ураження. У разі прогресування інфекції набрякати можуть щоки, губи або підборіддя.
- Підвищення температури тіла, загальне нездужання та послаблення як реакція організму на активне запалення.
Симптоми хронічного періодонтиту
Хронічна форма часто несе приховану загрозу, оскільки може тривалий час протікати майже безсимптомно, поступово руйнуючи кісткову тканину. Виразність проявів залежить від стадії захворювання:
- Початкова (фіброзна) стадія. Симптоми мінімальні. Пацієнт може відчувати незначний дискомфорт або незрозумілий біль, який виникає лише зрідка (наприклад, при навантаженні на зуб). На огляді лікар може виявити невелику зміну кольору зуба або стару глибоку пломбу.
- Гранулююча стадія. Больові відчуття вже носять більш постійний характер, особливо при жуванні. З’являється періодичний набряк та почервоніння ясен, часто формується свищ із гнійними виділеннями, який тимчасово полегшує стан. Зуб може стати рухливим.
- Гранульоматозна стадія. У яснах і кістковій тканині навколо верхівки кореня формуються кісти та гранульоми, заповнені гноєм. Біль може бути невираженим, але на рентгенограмі виявляється масштабне руйнування кістки. Можливе випирання кістки в ділянці ураження або дискомфорт при натисканні на ясна.
Симптоми періодонтиту
Чим може обернутися нелікування періодонтиту
Відкладання чи ігнорування лікування періодонтиту несе серйозну загрозу не лише для здоров’я порожнини рота, але й для всього організму. Хронічне інфекційне вогнище на верхівці кореня призводить до низки небезпечних наслідків:
- Втрата зуба. Це найбільш очевидне ускладнення. Постійне руйнування кісткової тканини, яка утримує зуб, призводить до його значної рухливості та неможливості функціонування, що завершується необхідністю видалення.
- Флегмона щелепно-лицевої ділянки. Інфекція з періодонтального вогнища може активними темпами поширитися в навколишні м’які тканини, викликаючи розлите гнійне запалення підшкірної клітковини — флегмону. Цей стан супроводжується сильним набряком, інтоксикацією організму, високою температурою та загрожує життю, вимагаючи негайної хірургічної допомоги в стаціонарі.
- Вплив на загальний стан здоров’я. Бактерії та продукти розпаду тканин з хронічного вогнища постійно потрапляють у кровотік, створюючи додаткове навантаження на імунну систему. Це підвищує ризик розвитку або погіршення перебігу системних захворювань, таких як:
- Захворювання серцево-судинної системи (ендокардит, атеросклероз).
- Хвороби нирок (гломерулонефрит).
- Ревматоїдний артрит та інші ураження суглобів.
- Погіршення контролю за рівнем цукру при діабеті.
- Сепсис та інтоксикація. При різкому загостренні процесу та ослабленні імунітету існує висока ймовірність розвитку зараження крові (сепсису) або тяжкої інтоксикації організму. Це критичні стани, що потребують реанімаційних заходів.
Саме тому лікування періодонтиту в нашій клініці спрямоване не лише на збереження зуба, але й на усунення інфекційного вогнища для захисту вашого загального здоров’я.
Показання для лікування періодонтиту
Якщо ви помічаєте в себе один або кілька з перелічених нижче симптомів, це є прямим показником для негайного звернення до стоматолога для діагностики та лікування періодонтиту. Своєчасний візит до клініки 32Дентал дозволить уникнути серйозних ускладнень.
- Відчуття розпирання в яснах, ніби зуб став вищим за інші.
- Припухлість, набряк або почервоніння ясен навколо конкретного зуба.
- Помітна рухливість зуба, його розхитування.
- Загальна слабкість, нездужання на тлі зубного болю.
- Гострий, пульсуючий або ниючий біль у зубі, який значно посилюється при натисканні, накушуванні або доторку.
- Виділення гною або іншої рідини з-під ясен біля ураженого зуба, часто через свищовий хід.
- Підвищена температура тіла як реакція організму на активне запалення.
Лікування періодонтиту в стоматології 32Дентал
Лікування періодонтиту є комплексним процесом, спрямованим на ліквідацію інфекції в кореневих каналах, відновлення функції зуба та попередження рецидиву захворювання. У нашій клініці професійна терапія проводиться за чітким протоколом, що включає такі етапи:
- Підготовка та анестезія. Для абсолютного комфорту пацієнта лікар проводить ефективне місцеве знеболювання. Після цього зуб ізолюється за допомогою кофердаму, щоб захистити робоче поле від потрапляння слини та бактерій.
- Отримання доступу до кореневих каналів. Лікар розсвердлює коронку зуба, видаляє старі пломби та всі уражені карієсом тканини, щоб відкрити вхід до каналів.
- Механічна та медикаментозна обробка каналів. За допомогою спеціальних ендодонтичних інструментів стоматолог ретельно видаляє інфіковану пульпу, розширює та формує канали. Паралельно вони промиваються потужними антисептичними розчинами для повної дезінфекції.
- Тимчасова пломбування та медикаментозна терапія. На цьому етапі в оброблені канали закладається тимчасовий лікувальний матеріал на основі кальцію, а зуб закривається тимчасовою пломбою. Пацієнту призначається курс антибактеріальних та протизапальних препаратів для повного придушення інфекції за межами кореня.
- Постійне пломбування каналів. Після закінчення курсу ліків (зазвичай через 1-2 тижні) та отримання позитивного контрольного знімка, що підтверджує зникнення запального вогнища, проводиться остаточне щільне пломбування каналів гутаперчею.
- Реставрація коронкової частини зуба. На завершальному етапі проводиться відновлення форми та функції зуба. Залежно від ступеня його зруйнованості, застосовуються різні методи: від міцного пломбування до встановлення культьової вкладки та керамічної коронки. Це забезпечує герметизм, міцність та рівномірне розподілення жувального навантаження.
Особливості лікування при ускладненнях:
- При гнійному періодонтиті першим етапом є забезпечення відтоку ексудату для зняття гострого болю та набряку.
- При наявності великої гранульоми чи кісти (гранулематозний періодонтит), які не піддаються консервативному лікуванню, може бути рекомендовано хірургічне втручання — резекція верхівки кореня зуба.
Чому варто обрати саме нашу клініку?
Лікування кореневих каналів у нашій стоматології в Дніпрі виконується з використанням передових технологій. Ключовим інструментом є дентальний мікроскоп. Він забезпечує багаторазове збільшення операційного поля, що дозволяє лікарю:
- Чітко бачити анатомічні особливості та додаткові канали.
- Реально видалити всі уражені тканини.
- Провести максимально щільне та точне пломбування.
Це значно підвищує успішність лікування навіть найскладніших випадків періодонтиту.
