Видалення зубів мудрості в Дніпрі без болю
Зуби мудрості часто стають джерелом серйозних проблем: від постійного дискомфорту до запалень і зміщення всього ряду. У стоматології 32Дентал у Дніпрі ми проводимо видалення зубів мудрості швидко, безболісно та з мінімальними ризиками завдяки атравматичним методам. Видалення зубів мудрості у Дніпрі – це хірургічна стоматологічна процедура, спрямована на вилучення третіх молярів (зубів мудрості) із ротової порожнини. Ці зуби зазвичай прорізаються у віці від 17 до 25 років і нерідко викликають проблеми через нестачу місця, неправильне зростання або запалення.
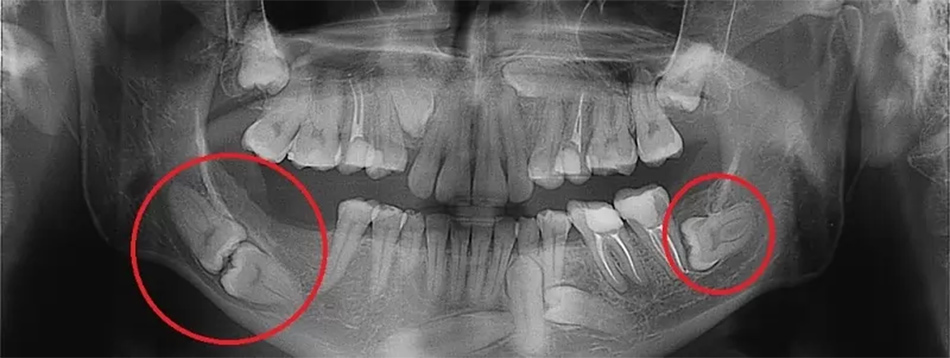
Коли рекомендоване видалення зуба мудрості
Показами до видалення зубів мудрості є такі самі як і звичайних зубів, а саме:
- Атипове розміщення зуба;
- Невиліковний гранульозний періодонтит;
- Перфорація кореневих каналів зуба;
- Рухомість зуба третього ступеня;
- Звільнення місця для стабільної фіксації протеза;
- Руйнація зуба після якої відновлення його функції консервативним методом неможливе.
За рекомендаціями стоматологів зуби мудрості варто видаляти ще до їх прорізування, бо в момент коли він почне виходити може виникнути запалення ясен, біль (головний або зубний), висока температура.
Основні показання до видалення зубів мудрості
- Ретеновані зуби: Зуби, які не прорізалися повністю, можуть викликати біль, набряк, інфекції або навіть пошкодження кістки.
- Дистоповані зуби: Неправильне положення зубів мудрості може призвести до тиску на сусідні зуби, порушення прикусу або їх руйнування.
- Перикороніт: Запалення ясен навколо частково прорізаного зуба, що супроводжується сильним болем, набряком і іноді підвищенням температури.
- Карієс і пошкодження сусідніх зубів: Через важкодоступне розташування зуби мудрості складно чистити, що сприяє розвитку карієсу та руйнуванню сусідніх зубів.
- Кісти та новоутворення: Ретеновані зуби можуть стати причиною утворення кіст, які пошкоджують щелепну кістку та навколишні тканини.
- Скупченість зубів: Зуби мудрості можуть зміщувати інші зуби, порушуючи естетику посмішки та правильний прикус.
- Хронічний біль або дискомфорт: Навіть без явних ускладнень зуби мудрості можуть викликати постійний тиск або неприємні відчуття.
Якщо ви відчуваєте біль, набряк, труднощі при відкриванні рота або інші симптоми в області зубів мудрості, не відкладайте візит до стоматології 32Дентал у Дніпрі.
Види видалень зубів мудрості у Дніпрі в стоматології 32Дентал:
Залежно від розташування зуба та складності робіт розрізняють:
- Атипове видалення — зуб неправильно розташований або не до кінця прорізався (інколи й зовсім не прорізався) – його забирають по частинах.Класичне видалення — коли зуб повністю прорізався і правильно розташований – проводиться класичне видалення.
Залежно від термінів втручання розрізняють:
- Термінове видалення — коли симптоми мають в собі запалення ясен, сильний гострий біль, підвищення температури, ризики подальших ускладнень – зуб видаляють терміново, в день звернення.
- Планове видалення — якщо гострих симптомів немає, процедура планується заздалегідь.
Підготовка до видалення зуба мудрості
- Консультація з лікарем: обговоріть стан здоров’я.
- Повідомте лікаря про наявність хронічних захворювань, алергій та ліків, які ви приймаєте.
- Дотримання рекомендацій перед процедурою: можливо, лікар порадить утриматися від їжі та напоїв за кілька годин до операції.
Процедура видалення вісімок в Дніпрі в стоматології 32Дентал
- Анестезія: застосовується місцева (укол у ясна), що дозволяє зробити процедуру максимально безболісною для пацієнта.
- Доступ до зуба: якщо зуб ретинований, робиться розріз ясен для доступу до нього.
- Видалення зуба: зуб видаляється цілком або розділяється на частини для полегшення видалення.
- Обробка рани: після видалення зуба рана очищується, при необхідності накладаються шви.
Можливі ускладнення після видалення зуба мудрості
- Альвеоліт: запалення лунки зуба, що супроводжується болем і неприємним запахом із рота.
- Інфекція: може виникнути при недотриманні гігієни або рекомендацій лікаря.
- Пошкодження сусідніх зубів або нервів: рідкісне ускладнення, яке може призвести до тимчасової або постійної втрати чутливості.
- Набряк і кровотеча: помірний набряк і незначна кровотеча є нормальними після процедури, але при їх посиленні слід звернутися до лікаря.
Дотримання рекомендацій стоматолога та своєчасне звернення за медичною допомогою у разі ускладнень сприятимуть швидкому та безпечному загоєнню після видалення вісімки (зуба мудрості).
Рекомендації після видалення зуба мудрості
- Прикладення льоду: для зменшення набряку прикладайте лід до щоки на 10 хвилин кожну годину.
- Прийом знеболювальних засобів: за призначенням лікаря приймати знеболювальні препарати для зменшення відчуття дискомфорту.
- Утримання від їжі та напоїв: протягом перших 2 годин після процедури утримайтеся від прийому їжі та напоїв.
- Дієта: споживайте м’яку та негарячу їжу протягом кількох перших днів після видалення.
- Гігієна ротової порожнини: уникайте полоскання рота протягом перших 24 годин. Надалі треба обережно чистити зуби, уникаючи області рани.
- Утримання від фізичних навантажень: протягом кількох днів після процедури уникайте інтенсивних фізичних навантажень.
Відновлення після видалення зуба мудрості займає 1-2 тижні, під час яких пацієнт повинен дотримуватись рекомендацій лікаря-стоматолога. Після видалення не рекомендується вживати гарячу та тверду їжу, гарячі напої, прикладати грілку або перегрівати з того боку, де було вирвано зуб. Це може призвести до розширення судин і, як наслідок, до кровотечі. Також бажано виключити куріння на кілька днів, тому що нікотин перешкоджає загоєнню ран. Будь-які полоскання у перший день відновлення категорично заборонені. У разі виполіскування кров’яного згустку може розвинутись альвеоліт – запалення лунки. Жувати рекомендується на протилежному боці.Не ризикуйте здоров’ям — запишіться на видалення зубів мудрості в Дніпрі в 32Дентал!!!Отримайте професійну консультацію, точну діагностику та прайс. Поверніть комфорт без болю!
