Відновлення зубів коронками у Дніпрі | Металокераміка, кераміка E-max, цирконієві | Стоматологія 32Дентал
Коли зуб значно зруйнований карієсом, травмою або після багаторазового лікування, а відновити його пломбою або вкладкою вже неможливо, оптимальним рішенням стає встановлення зубної коронки у Дніпрі. У стоматології 32Дентал ми пропонуємо сучасні та довговічні види відновлення: металокерамічні, керамічні E-max та повністю цирконієві коронки на зуби. Прозорі ціни та розрахунок вартості індивідуально для кожного випадку.
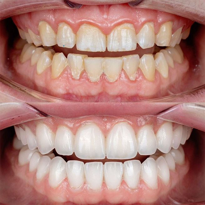
Зубна коронка — це міцний та естетичний незнімний мікропротез, який точно повторює анатомічну форму, колір та прозорість природного зуба. Вона повністю покриває його видиму частину (коронку), захищаючи від подальшого руйнування та відновлюючи жувальну функцію. Завдяки використанню передових матеріалів та технологій, сучасні коронки не тільки міцні, але й візуально нерозрізненні від власних зубів.
Ми встановлюємо зубні коронки, які поєднують довговічність, природність вигляду та довгостроковий комфорт для пацієнта.
Коли потрібна коронка на зуб? Основні показання
Рішення про встановлення коронки приймає лікар-ортопед після ретельного огляду. У стоматології 32Дентал основним показанням є неможливість відновлення зуба більш консервативними методами. Встановити коронку рекомендують у таких випадках:
- Значне руйнування коронкової частини (понад 50-60%) внаслідок обширного карієсу, відколу стінки або глибокої тріщини.
- Серйозні естетичні дефекти — стійке потемніння емалі, флюороз, тетрациклінові зуби, грубі аномалії форми, які неможливо виправити вінірами або відбілюванням.
- Патологічно підвищене стирання зубів (бруксизм). Коронка виконує роль міцного захисного «шолома», що запобігає подальшому руйнуванню зубних тканин.
- Відновлення зуба після травми — при значних відломах внаслідок ударів або падінь.
- Необхідність посилення зуба — коли він виступає опорою для мостоподібного або бюгельного протеза. Коронка захищає та розподіляє навантаження, запобігаючи поломці.
- Покриття зуба після ендодонтичного лікування (після видалення нерва). Такий зуб стає більш крихким, і коронка надійно захищає його від розколу під навантаженням.
Консультація з нашим ортопедом допоможе визначити, чи є встановлення коронки найкращим рішенням саме для вашого клінічного випадку.
Види зубних коронок: порівняння матеріалів
Види та ціни на коронки визначаються матеріалом виготовлення, технологією виробництва та клінічним випадком. Сьогодні пацієнти стоматології 32Дентал можуть обрати серед сучасних та класичних рішень, кожне з яких має свої показання.
Класичні металеві коронки
Це традиційний тип конструкцій, який у сучасній практиці використовується обмежено, переважно з економічних міркувань або за специфічними показаннями. Металеві коронки виготовляються з різних сплавів (хром-кобальт, золото-платина).
- Переваги: Найвища міцність та зносостійкість, практично незнищуваність, низька вартість, відсутність ризику сколів.
- Недоліки: Абсолютно неестетичний вигляд (сріблястий або золотистий колір), що обмежує їх використання виключно для віддалених жувальних зубів, які не видно при посмішці. Також існує ризик наявності гальванічних струмів при поєднанні з іншими металами в ротовій порожнині.
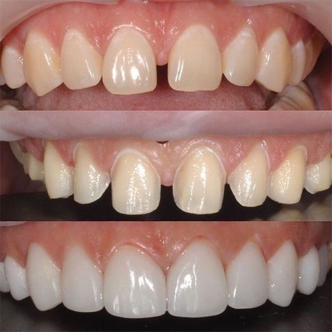
Еталон естетики: керамічні коронки (E-max, пресована кераміка)
Цей тип вважається лідером за природністю вигляду. Керамічні коронки (з пресованої кераміки, таких як E-max) ідеально імітують оптичні властивості емалі: світлопроникність, відтінок та мікрорельєф. Вони використовуються при значних руйнуваннях, коли вінір вже не допоможе.
- Переваги: Неперевершена естетика, висока біосумісність, гіпоалергенність, стійкість кольору. Достатньо міцні для передніх зубів та премолярів.
- Нюанси: Відносна крихкість порівняно з металевими аналогами обмежує їх використання на зубах, що зазнають екстремального жувального навантаження (моляри). Для них частіше обирають цирконієві коронки.
Область застосування: Найчастіше встановлюються на передні зуби в зоні усмішки, де важливі природність та світлопроникність.
Універсальні металокерамічні коронки
Цей тип залишається одним з найпопулярніших завдяки гарному поєднанню надійності та естетики за прийнятною ціною. Металокерамічна коронка складається з тонкого, але міцного литого металевого каркаса, який зверху покривається шарами стоматологічної кераміки.
- Переваги: Висока міцність та довговічність (10-15 років і більше), хороша естетика, здатність витримувати сильне жувальне навантаження. Можуть встановлюватися як на передні, так і на жувальні зуби.
- Нюанси: Через наявність непрозорого металевого підґрунтя, естетика може поступатися безметалевим коронкам, особливо у пришийковій зоні (можлива сіра облямівка біля ясен). Вимагає більш значного обточування зуба порівняно з сучасними безметалевими аналогами.
Економний варіант: композитні коронки
Це конструкції з металевим каркасом, але з облицюванням не керамікою, а спеціальним стоматологічним фотополімерним композитом.
Переваги: Швидкість виготовлення (часто в один візит), найбільш доступна вартість, можливість легкої поремонтності прямо в роті. Можуть використовуватися як тимчасові або постійні конструкції на імплантах або власних зубах, зокрема перед встановленням брекетів.
Недоліки: Матеріал схильний до абразивного стирання та фарбування пігментами з їжі (кава, чай, ягоди), може втрачати блиск з часом. Менша довговічність і естетика порівняно з керамікою.
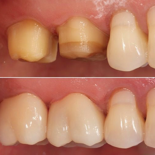
Преміум-рішення: безметалеві коронки на основі цирконію (ZrO2)
Сьогодні цирконієві коронки визнані лідером за поєднанням надзвичайної міцності та ідеальної естетики. Вони виготовляються з діоксиду цирконію за технологією CAD/CAM (комп’ютерне моделювання та фрезерування).
- Переваги: Рекордна біосумісність та міцність (перевершує метал), довговічність (15+ років). Каркас з цирконію має світлопроникність, подібну до дентину, що забезпечує максимально природній вигляд як коронки, так і м’яких тканин навколо неї (немає сірої облямівки). Підлягає тонкому обточуванню зуба.
- Область застосування: Ідеальний вибір для відновлення будь-яких зубів — від передніх різців до молярів, особливо коли вимоги до естетики та довговічності високі.
Загальна перевага всіх сучасних безметалевих коронок (цирконієвих та керамічних) — це щадне обточування зуба та висока біологічна сприйнятливість організмом.
Безметалеві коронки: сучасні технології для здоров'я та естетики
Стрімкий розвиток стоматологічних матеріалів призвів до появи безметалевих коронок, які стали новим стандартом якості та безпеки. До цієї категорії належать:
- Керамічні коронки (E-max, пресована кераміка): Лідери за естетикою та світлопроникністю, що точно відтворюють природну емаль.
- Цирконієві коронки (на основі діоксиду цирконію ZrO2): Абсолютні лідери за міцністю та довговічністю серед усіх безметалевих рішень, що поєднують надійність з високою естетикою.
- Коронки на основі оксиду алюмінію: Застосовуються рідше, мають добру біосумісність та естетику, але поступаються цирконію за міцністю.
Ключова перевага всіх сучасних безметалевих коронок, що пропонує стоматологія 32Дентал у Дніпрі, — це щадна підготовка зуба. Завдяки високій міцності матеріалів каркас може бути тоншим, що дозволяє лікарю зберегти максимальний обсяг власних здорових тканей зуба при обточуванні. Це не лише продовжує його життя, але й робить процес відновлення більш консервативним та комфортним для пацієнта.
Як відбувається встановлення коронки: етапи процедури
Процес встановлення коронки в стоматології 32Дентал у місті Дніпро — це чіткий алгоритм, розроблений для точності та довговічності. Лікування зазвичай проходить у 2-3 візити.
Етапи процедури
- Планування та діагностика. Лікар проводить огляд, рентген, обирає матеріал коронки (цирконій, кераміка E-max) та складає план лікування.
- Підготовка зуба. Зуб обточується для коронки. При необхідності проводиться попереднє відновлення культі або лікування кореневих каналів.
- Зняття відбитків. За допомогою точних відбитків або цифрового сканування створюється модель для зуботехнічної лабораторії.
- Встановлення тимчасової коронки. На період виготовлення постійної коронки встановлюється тимчасова пластикова для захисту зуба.
- Примірка та корегування. Готову коронку приміряють, перевіряють прилягання, колір та прикус.
- Фінальна фіксація. Після остаточного затвердження всіх параметрів коронка надійно фіксується на постійний цемент.
Часті питання про зубні коронки
Чи можна поставити коронку лише на один зуб?
Так, саме для відновлення окремого пошкодженого зуба коронка встановлюється найчастіше. Вона також використовується як надінкова частина на імпланті. Якщо ж відсутні кілька зубів поспіль, застосовується мостоподібний протез, опорою для якого служать коронки на сусідніх зубах.
Чи можна відбілити зуби, якщо вже є коронки?
Матеріал коронки не піддається відбілюванню. Її колір залишиться незмінним. Відтінок нової коронки підбирається під природний колір емалі пацієнта на момент її виготовлення. Тому відбілювання натуральних зубів слід проводити до встановлення коронки. Інакше освітлені власні зуби будуть контрастувати з коронкою, що може потребувати її заміни.
Які коронки найміцніші?
Найвищою міцністю серед усіх типів володіють цирконієві коронки, які перевершують навіть металокераміку. Проте металокерамічні коронки також дуже міцні та пропонують відмінне співвідношення надійності та доступної вартості.
Яка коронка краща для жувального зуба?
Для жувальних зубів оптимальні міцні та витривалі матеріали:
- Цирконієві коронки: Найсучасніший та найміцніший варіант. Ідеально підходять через високу опірність навантаженням та відмінну біосумісність.
- Металокерамічні коронки: Перевірений часом, надійний і більш економічний варіант. Чудово витримують жувальне навантаження.
Що обрати для переднього зуба: вінір чи коронку?
Вибір залежить від стану зуба:
- Вініри — це тонкі накладки, які вирішують естетичні проблеми (щілини, плями, невелика нерівність) при мінімальному обточуванні.
- Коронки — це «шоломи», які відновлюють сильно зруйновані зуби (після лікування каналів, великих каріозних порожнин, травм), повністю покриваючи їх.
Скільки років служать коронки?
Термін служби залежить від матеріалу та гігієни:
- Металокерамічні: 10-15 років.
- Керамічні (E-max): 10-15 років і більше.
- Цирконієві: 15-20 років і довше.
Чи можна замінити стару коронку на нову?
Так, заміна старої коронки цілком можлива та часто необхідна. Після закінчення терміну її служби або при виникненні проблем (розгерметизація, скол, карієс під коронкою) лікар-ортопед акуратно знімає стару конструкцію.
Потім проводиться ретельний оцінка стану зуба під нею. Якщо зуб життєздатний і не потребує додаткового лікування, знімаються нові відбитки для виготовлення та встановлення свіжої, сучасної коронки.
Чому саме 32Дентал для встановлення коронок у Дніпрі?
Обираючи нашу клініку для відновлення зубів, ви отримуєте передбачуваний результат, заснований на професіоналізмі та сучасних стандартах.
Ключові переваги
- Досвідчені лікарі-ортопеди. Фахівці з великим практичним досвідом у відновленні зубів будь-якої складності.
- Сучасне обладнання. Точна діагностика та виготовлення коронок для ідеальної посадки та комфорту
- Гарантія якості. Надаємо 1 рік гарантії на керамічні та цирконієві коронки.
- Безболісне лікування. Комфорт на кожному етапі завдяки ефективній анестезії.
- Прозорі ціни. Конкурентна вартість коронки у Дніпрі без прихованих платежів та детальний розрахунок.
Хочете відновити зуб міцною та естетичною коронкою? Запишіться на консультацію до ортопеда 32Дентал у місті Дніпро!
Історії перетворення ваших посмішок
Встановлення брекетів
Величезне дякую Лаурі Віталіївні за мою нову, красиву усмішку! Моє лікування добігає кінця, через місяць знімати брекети, а я до них так звикла, що навіть трохи шкода 🙂 Я прийшла з проблемою випираючих іклів та нерівного нижнього ряду — зараз усі зуби стоять ідеально рівно. Приємним бонусом стало те, що навіть профіль обличчя змінився на краще. Дуже задоволена усім процесом та результатом. Однозначно рекомендую цього лікаря
Олеся
Видалення зуба
Звернувся до 32Dental з гострим болем – лікар запропонував видалення. Процедура легка, дали чіткі рекомендації. Тепер все добре! Дякую!
Влад По
Видалення зруйнованого зуба
Довго відкладала видалення зруйнованого зуба, але все зробили швидко та безболісно. Лікар уважно пояснював кожен крок, реабілітація пройшла легко.
Anastasia Rodina
Видалення зуба з гострим болем
Прийшов з гострим болем – хірург прийняв одразу. Видалення пройшло ідеально, навіть зняття швів без дискомфорту.
Aleksei Tanikov
Відбілювання зубів Beyond
Відвідала клініку для відбілювання зубів Beyond, пломбування та художньої реставрації. Дуже сподобалося оптимальне співвідношення ціни та якості, швидке виконання робіт і комфортна атмосфера під час прийому. Рекомендую!
Дар'я Онуфрієнко
Встановлення брекетів
Встановлювали брекети синові-підлітку і за порадою Лаури Віталіївни обрали практичний варіант — металеву систему з кольоровими лігатурами, за якою простіше доглядати. Регулярно ходимо на огляди, і лікарка завжди детально пояснює, як просувається лікування. Ми бачимо, що зуби поступово вирівнюються, і дуже задоволені процесом.
Наталя
Брекети
Хочу подякувати Грисяк Лаурі Віталіївні за високий професіоналізм. Мій син півтора року носив брекети під її наглядом, і результат відмінний — всі зуби ідеально рівні. Зараз, після зняття системи, нам встановили ретейнери для закріплення ефекту. Дуже задоволені комплексним підходом і лікуванням.
Людмила Рудих
Імплантація
Дякую, що є такі важливі та компетентні лікарі! Все зробила в найкращому вигляді! Тепер звертаюсь тільки сюди! Рекомендую!










