Лікування карієсу у Дніпрі | Професійне пломбування зубів | Стоматологія 32Дентал
Карієс — це найпоширеніше інфекційне захворювання, яке поступово руйнує тверді тканини зуба (емаль та дентин). Його небезпека полягає в непомітному розвитку: на початкових стадіях карієс часто не викликає болю та видимих ознак, але при цьому активно прогресує, приводячи до серйозного руйнування, запалення нерва (пульпіту) та втрати зуба.
У 32Дентал ми проводимо швидке, ефективне та безболісне лікування карієсу на будь-якій стадії. Ми використовуємо сучасні матеріали для пломбування, що відтворюють природню форму та колір зуба, а також мікроскопи для максимально точної роботи. Прозорі ціни на всі послуги.
Чому важливо лікувати карієс вчасно?
Своєчасна діагностика та лікування карієсу — це запобігання серйозним проблемам і економія на складному лікуванні в майбутньому:
- Запобігання ускладненням: Нелікований карієс призводить до пульпіту, періодонтиту, утворення кісти, що потребує тривалого лікування каналів або навіть видалення зуба.
- Збереження тканин зуба: Чим раніше виявлено карієс, тим менше тканин зуба доведеться видалити. На ранній стадії можливо зупинити процес без свердління за допомогою ремінералізуючої терапії.
- Економія коштів: Лікування простого карієсу значно дешевше, ніж терапія ускладнень.
- Збереження естетики: Сучасні пломби маскуються під колір емалі, повністю відновлюючи природній вигляд зуба.
Не чекайте болю! Регулярні профілактичні огляди раз на 6 місяців у стоматології 32Дентал дозволять виявити карієс на етапі плями та вирішити проблему мінімальними зусиллями, зберігши здоров’я та красу ваших зубів.
Стадії розвитку карієсу: методи лікування
Карієс розвивається поступово, і метод лікування залежить від глибини його поширення. У стоматології 32Дентал ми підбираємо терапію індивідуально для кожної стадії.
- Карієс у стадії плями (початковий). На емалі з’являються матові білі або темні плями — ділянки деминералізації, де вимивається кальцій. Дефекту ще немає.
- Лікування: Консервативне, без свердління. Проводиться курс ремінералізуючої терапії — нанесення спеціальних гелів, лаків або паст, багатих кальцієм, фосфатами та фтором, для посилення емалі. Це зупиняє процес.
- Поверхневий карієс. Ураження не виходить за межі шару емалі. З’являється невелике потемніння або шорстка ділянка.
- Лікування: Мінімальне пломбування. Видаляється уражена емаль, ділянка обробляється та заповнюється сучасним фотополімерним пломбовим матеріалом.
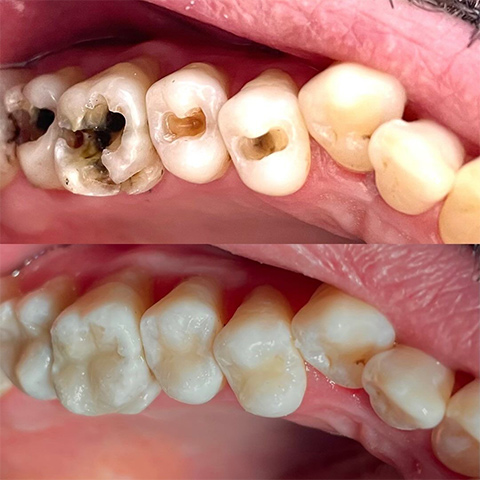
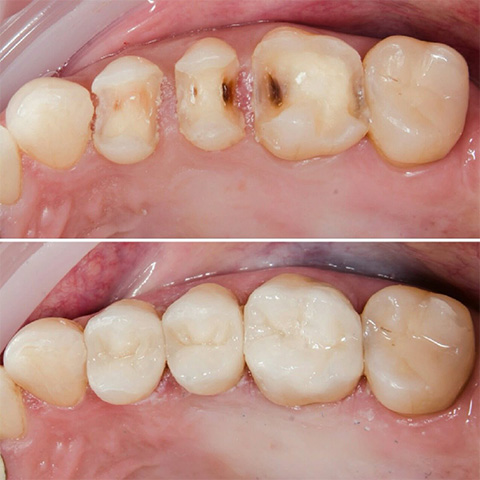
- Середній карієс. Найпоширеніша форма. Каріозний процес пройшов крізь емаль і уразив верхні шари дентину. З’являється очевидна порожнина, можлива реакція на солодке, холодне.
- Лікування: Класичне пломбування. Повне видалення інфікованих тканин, накладення ізолювальної прокладки для захисту нерва та відновлення анатомії зуба пломбою.
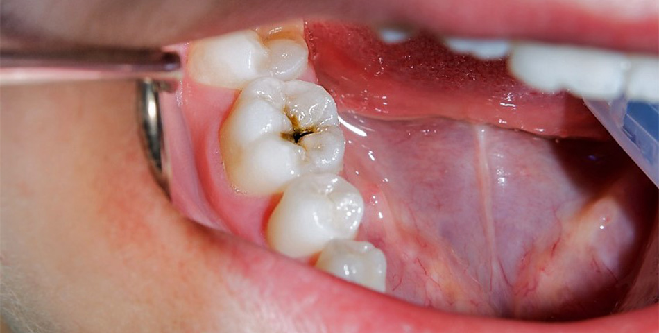
- Глибокий карієс. Серйозне ураження, коли від каріозної порожнини до пульпи (нерва) залишається тонкий шар здорового дентину. Ризик пульпіту дуже високий.
- Лікування: Підвищена обережність. Після ретельного видалення карієсу обов’язково накладається лікувальна та ізолювальна прокладка з кальцієм для відновлення дентину та захисту нерва. Потім зуб пломбується. Лікар ретельно контролює стан пульпи після такого лікування.
Важливо: Чим раніше виявлено карієс, тим простіше, швидше та дешевше його лікування. Глибокий карієс потребує майстерності лікаря, щоб уникнути ускладнень.
Види карієсу за локалізацією: де найчастіше виникають проблеми?
Місце виникнення карієсу також впливає на складність його виявлення та лікування. Ми діагностуємо та лікуємо карієс у будь-яких важкодоступних ділянках.
- Фісурний (оклюзійний) карієс. Найпоширеніший вид. Розвивається в природніх борозенках та ямках (фісурах) жувальної поверхні зубів. Їжа легко застрягає там, створюючи ідеальне середовище для бактерій. Часто виявляється на ранніх стадіях під час профілактичного огляду.
- Пришийковий (цервикальний) карієс. Утворюється в області шийки зуба, безпосередньо біля ясена. Часто спричинений недостатньою гігієною цієї зони та може швидко поширюватися вглиб. Іноді пов’язаний з рецесією ясен. Його може бути помітно як темна смужка біля ясен.
- Міжзубний (апроксимальний) карієс. Один з найбільш «підступних» видів. Розвивається на контактних поверхнях зубів, у міжзубних проміжках. Його неможливо побачити неозброєним оком, часто виявляється лише на рентгенівському знімку або коли вже утворилася дірка. Для профілактики критично важливе використання зубної нитки.
- Атиповий карієс. Рідкісна форма, що вражає найміцніші ділянки зуба — ріжучі краї передніх зубів або жувальні горбики. Часто пов’язаний з травмою або патологічним стиранням зубів.
Незалежно від локалізації, рання діагностика є ключем до простого лікування. Регулярні огляди у стоматолога та професійна гігієна дозволяють виявити початок каріозного процесу в будь-якій зоні.
Симптоми карієсу: коли необхідно терміново звернутися до стоматолога?
На ранніх стадіях карієс практично ніяк себе не проявляє, що робить регулярні огляди найважливішим засобом діагностики. Однак, коли процес поглиблюється, з’являються характерні ознаки, які не можна ігнорувати.
Запишіться на консультацію до стоматолога в клініці 32Дентал, якщо ви помітили:
- Візуальні зміни:
- Поява білих, крейдяних або темних (коричневих, чорних) плям на емалі.
- Потемніння ділянки зуба зсередини, видиме крізь емаль.
- Зміна текстури — емаль стає шорсткою, матовою, втрачає блиск.
- Утворення видимої порожнини (дірки, ямки) в зубі.
- Тактильні відчуття: Застрягання їжі в певному місці, відчуття шорсткості язиком.
- Підвищена чутливість (гіперстезія):
- Короткочасний біль або пощипування від солодкого, кислого.
- Реакція на холодне (морозиво, вода, повітря) або гаряче.
- Дискомфорт при механічному тиску (при чищенні зубів).
Важливо розуміти: Якщо зуб почав боліти сам по собі, особливо вночі або від гарячого, це вже може бути ознакою ускладнення карієсу — пульпіту (запалення нерва). У такому випадку термінове звернення до лікаря необхідне, оскільки лікування буде складнішим.
Не чекайте появи гострого болю! Будь-який з перелічених симптомів — це сигнал, що каріозний процес активний. Своєчасний візит до стоматолога в Дніпрі дозволить обійтися мінімальним втручанням та зберегти життєздатність зуба.
Стадії карієсу: від плями до ускладнень
Глибина поширення інфекції визначає не лише тактику, але й тривалість та складність лікування. У стоматології 32Дентал ми чітко класифікуємо карієс за ступенем ураження:
- Поверхневий карієс. Процес обмежується шаром емалі. Візуально — пляма. На цій стадії ще можливо консервативне лікування (ремінералізація) без свердління.
- Середній карієс. Найпоширеніша форма при зверненні. Бактерії пройшли крізь емаль і уразили дентин. Зуб розм’якшується, формується порожнина. Потрібне класичне пломбування.
- Глибокий карієс. Серйозна стадія, коли руйнування дентина наблизилось до пульпи (нерва), від якої його відокремлює тонкий шар. Потрібне надзвичайно обережне лікування з накладенням лікувальної прокладки для захисту нерва.
- Ускладнений карієс (пульпіт, періодонтит). Інфекція проникла в нервову камеру, спричинивши її запалення. Це вже не карієс, а його ускладнення, що вимагає лікування кореневих каналів.
Як відбувається лікування карієсу в стоматології 32Дентал? Етапи процедури
Процес лікування карієсу — це чіткий алгоритм, спрямований на повне усунення інфекції та відновлення зуба. Ми використовуємо сучасні матеріали та технології для міцного та естетичного результату.
Основні етапи пломбування зуба:
- Діагностика та анестезія. Лікар проводить огляд, при необхідності — знімок. Потім проводиться ефективна та комфортна місцева анестезія. Зуб ізолюється кофердамом (латексною пластиною) для захисту від вологи та слини.
- Препарування. За допомогою сучасного турбінного наконечника ретельно видаляються всі інфіковані, розм’якшені тканини. Формується порожнина для надійної фіксації пломби.
- Медикаментозна обробка. Порожнина промивається антисептиками та протравлюється спеціальною гелевою кислотою для створення мікрошорсткості емалі.
- Накладення прокладки та адгезиву. При середньому та глибокому карієсі накладається захисна або лікувальна ізолювальна прокладка. Потім наноситься адгезивний клей (бонд), який забезпечує міцне зчеплення пломби з тканами зуба.
- Відновлення анатомії зуба (пломбування). Шаруватими порціями вноситься світлополімеризований композитний матеріал обраного відтінку. Кожен шар просвічується спеціальною лампою для затвердіння. Лікар відтворює природню форму, фісури та контактні пункти зуба.
- Фінальна обробка. Після полімеризації пломба коригується, шліфується та полірується до ідеальної гладкості та блиску, що відповідає природній емалі.
Лікування початкового карієсу (стадія білої плями) без свердління
Карієс у стадії білої (крейдяної) плями — це найраніша форма, коли ще не утворився дефект (дірка), але емаль вже втратила мінерали та ослабла. Це останній момент для консервативного лікування без свердіння.
Ознаки: Видима матово-біла, крейдяна пляма на поверхні емалі, яка не змивається. Болючих відчуттів немає.
Методика лікування в стоматології 32Дентал:
- Професійна гігієна. Ретельне очищення зуба від нальоту.
- Ремінералізуюча терапія (основний етап). Ніякого зняття емалі не проводиться! На підготовлену поверхню зуба наносяться спеціальні гели, лаки або пенки, багаті активними іонами кальцію, фосфору та фтору. Ці речовини проникають в емаль і відновлюють її мінеральну структуру, посилюючи та стабілізуючи.
- Індивідуальні рекомендації. Лікар призначає домашній курс ремінералізації за допомогою спеціальних зубних паст та гелів.
- Контроль. Через 3-6 місяць проводиться контрольний огляд для оцінки ефективності лікування. У більшості випадків пляма зменшується або зникає.
Важливо: Дана методика ефективна лише на стадії плями. Якщо вже утворився дефект емалі, потрібне пломбування. Саме тому так важливі регулярні профілактичні огляди для виявлення проблеми на цьому, ще зворотному етапі.
Лікування поверхневого карієсу
Коли каріозний процес руйнує лише шар емалі, не торкаючись дентину, діагностують поверхневий карієс. Ця стадія вже вимагає мінімального відновлення зуба.
Локалізація та симптоми:
Карієс може розташовуватися в фісурах (фісурний) або біля шийки зуба (пришийковий). Візуально це чітка темна або світла пляма, емаль на ділянці втрачає гладкість. Можлива короткочасна чутливість на температурні подразники (холодне/гаряче), оскільки емаль вже не захищає повною мірою.
Особливості лікування поверхневого карієсу в стоматології 32Дентал:
- Мінімальне препарування. Лікар за допомогою невеликого бору обережно видаляє уражену, розм’якшену емаль, формуючи невелику порожнину для пломби. Часто процедура не вимагає анестезії, оскільки емаль не має нервових закінчень.
- Антисептична обробка. Порожнина ретельно промивається для знезараження.
- Відновлення емалі. Порожнина заповнюється сучасним фотополімерним матеріалом, який повністю відтворює колір та прозорість емалі.
- Герметизація фісур (при фісурному карієсі). Після лікування, для запобігання рецидиву, лікар може запропонувати процедуру герметизації фісур — заповнення природних борозенок спеціальним захисним складом.
Переваги своєчасного лікування на цій стадії:
- Мінімальне втручання в структуру зуба.
- Швидкість процедури (15-30 хвилин).
- Максимальне збереження власних тканин.
- Попередження поглиблення процесу до дентину.
Не ігноруйте навіть невеликі зміни на емалі — записуйтесь на діагностику, щоб зупинити карієс на найпростішому етапі.
Лікування середнього карієсу
Стадія середнього карієсу характеризується поширенням інфекції за межі емалі та ураженням верхніх шарів дентину. Це найпоширеніша форма, з якою пацієнти звертаються до лікаря, оскільки симптоми стають помітнішими.
Симптоми та діагностика:
- Видима порожнина (дірка) в зубі.
- Застрягання їжі в певному місці.
- Чітка реакція на подразники: короткий біль або пощипування від солодкого, холодного, іноді гарячого.
- Міжзубний (апроксимальний) карієс на цій стадії часто виявляється тільки на рентгенівському знімку або коли ураження вже значне.
- При хронічному перебігу симптоми можуть бути стертими.
Етапи лікування середнього карієсу в стоматології 32Дентал:
- Анестезія. Проводиться ефективна місцева анестезія для повного знеболення процедури.
- Ізоляція зуба. Зуб ізолюється кофердамом (латексною пластиною) для захисту від вологи, що гарантує міцність та довговічність пломби.
- Препарування. Лікар повністю видаляє всі інфіковані, розм’якшені тканини емалі та дентину за допомогою турбінного наконечника та мікромотора.
- Медикаментозна обробка. Порожнина інтенсивно промивається антисептиками та протравлюється для створення мікрошорсткості.
- Накладення захисної прокладки. На дно порожнини накладається спеціальна ізолювальна прокладка для захисту дентину та пульпи та поліпшення адгезії.
- Відновлення анатомії зуба. Порожнина послідовно заповнюється шарами фотополімерного композиту, кожен з яких просвічується лампою. Лікар відтворює усі фізіологічні форми, контакти з сусідніми зубами.
- Фінальне опрацювання. Пломба коригується, шліфується та полірується до ідеального стану.
Лікування середнього карієсу — це стандартна, але вже більш тривала процедура, спрямована на повну санацію вогнища інфекції та якісне відновлення функції та форми зуба.
Лікування глибокого карієсу
Глибокий карієс — це критична стадія, коли кариозне руйнування практично досягає пульпи (нерва) зуба, відокремлюючись від неї лише тонким шаром здорового або зміненого дентину. Лікування вимагає особливої обережності та майстерності, щоб уникнути ускладнення у вигляді пульпіту.
Симптоми глибокого карієсу:
- Велика, очевидна каріозна порожнина.
- Тривалий біль від температурних подразників (особливо холодного), який повільно затихає після усунення причини.
- Біль при попаданні їжі в порожнину.
- Можливі ниючі болі.
Особливості лікування глибокого карієсу в стоматології 32Дентал:
- Обов’язкова анестезія. Проводиться глибока та ефективна місцева анестезія для повного комфорту пацієнта. Лікар підбирає препарат індивідуально.
- Максимально обережне препарування. Лікар надзвичайно акуратно видаляє інфіковані тканини, прагнучи зберегти тонкий шар здорового дентину над пульпою. Часто це проводиться під збільшенням (мікроскопом або бінокулярами).
- Накладення лікувальної прокладки. На дно сформованої порожнини обов’язково накладається спеціальна лікувальна прокладка на основі гідроксиду кальцію. Вона має протизапальну дію, стимулює утворення вторинного дентину (захищає нерв) та знезаражує тканини.
- Накладення ізолюючої прокладки. Поверх лікувальної накладається тверда ізолююча прокладка для надійного захисту та міцної основи під пломбу.
- Відновлення зуба. Після цього зуб реставрується шарами постійної фотополімерної пломби.
Коли карієс переходить у пульпіт:
Якщо під час лікування виявляється, що інфекція вже проникла в нерв (наявність мікроперфорації або симптомів пульпіту), проводиться лікування кореневих каналів (ендодонтія) з подальшим відновленням зуба коронкою або великою вкладкою.
Лікування глибокого карієсу — це високотехнологічна процедура на межі терапії та ендодонтії. Наш підхід дозволяє в багатьох випадках зберегти живий нерв зуба та уникнути депульпації, продовживши його життя
Часті питання про карієс
Скільки часу займає лікування карієсу?
В середньому процес займає від 10 до 40 хвилин, залежно від обсягу робіт. Лікар повністю очищає каріозну порожнину, обробляє її та відновлює коронкову частину зуба. Лікування поверхневого карієсу триває недовго, але при великій або важкодоступній порожнині час може збільшитися до години і більше.
Чи боляче лікувати карієс?
Лікування невеликого карієсу зазвичай абсолютно безболісне. При середньому або глибокому карієсі можливий дискомфорт. Щоб його уникнути, лікар застосовує місцеву анестезію (укол). Для особливо чутливих пацієнтів ми також використовуємо знеболюючий гель перед ін’єкцією.
Як виконується діагностика карієсу? Чи можна виявити його самостійно?
Плями та порожнини на жувальних або зовнішніх поверхнях зуба часто можна помітити самостійно. Однак карієс у пришийковій зоні або між зубами залишається непомітним для ока пацієнта. Стоматологи нашої клініки точно діагностують усі види уражень завдяки досвіду, потужному освітленню та спеціальним інструментам. Саме тому так важливі регулярні профілактичні огляди.
Скільки служить пломба?
Пломбу рекомендовано міняти через 5–8 років. З часом будь-який пломбувальний матеріал дає усадку, що порушує герметичність і може призвести до вторинного карієсу під пломбою.
Що робити, якщо випала пломба?
Негайно записатися на прийом до лікаря. До візиту слід уникати жування на цій стороні, не їсти тверду їжу, а також ретельно полоскати рот і чистити зуби після кожного прийому їжі.
Чи можна лікувати карієс під час вагітності?
Так, при нормальному перебігу вагітності це рекомендується робити у другому триместрі. Ми використовуємо найбільш безпечні препарати та методи, щоб забезпечити ваш комфорт і безпеку.
Як відрізнити карієс від нальоту?
М’який наліт зазвичай рівномірно покриває поверхню зубів. Він м’який на дотик і легко видаляється під час чищення. Карієс ж локалізується у вигляді окремої плями або порожнини на емалі і не зникає після гігієни. За наявності підозр краще звернутися до лікаря.
Як відрізнити карієс від пігментації?
Карієс зазвичай має вигляд плями або порожнини на поверхні емалі. Пігментація ж (наприклад, від чаю, кави, тютюну) може виникати на різних ділянках зуба, включаючи емаль, дентин або навіть поблизу ясен, і часто носить поверхневий характер. Точний діагноз може поставити лише стоматолог під час огляду.
Історії перетворення ваших посмішок
Видалення зуба
Звернулася з сильним болем. Після огляду вирішили видаляти зуб. Лікар акуратний і спокійний, все зробив обережно та швидко, без болю. Дуже вдячна!
Світлана
Встановлення брекетів
Мої нові брекети — просто супер! Величезне дякую Лаурі Віталіївні за професіоналізм. Встановлення пройшло дуже швидко, лише за півтори години. Так, поки трохи незвично і є легка шепелявість, але я була до цього повністю готова, оскільки лікарка про все попередила заздалегідь. Особливо радують кольорові резиночки — виглядають дуже стильно!
Евгения
Видалення зуба
Звернувся до 32Dental з гострим болем – лікар запропонував видалення. Процедура легка, дали чіткі рекомендації. Тепер все добре! Дякую!
Влад По
Встановлення брекетів
Хочу висловити величезну подяку ортодонту Лаурі Віталіївні за мої ідеально рівні зуби! Я довго сумнівалася, чи варто ставити брекети в моєму віці, дуже боялася, що вже запізно. Минуло трохи більше двох років, і місяць тому мені зняли металеву брекет-систему. Результат перевершив усі очікування! Я безмежно щаслива, що нарешті можу усміхатися відкрито й не соромитись.
Наталя
Ортодонтичні трейнери
Були на плановому огляді у Лаури Віталіївни та хочу поділитися нашими успіхами. Моя донька лише третій місяць використовує ортодонтичний трейнер, а ми вже бачимо чудові результати — зубки стали помітно рівнішими! Я така рада, що ми звернулися вчасно і вирішуємо проблему на ранньому етапі, без необхідності ставити брекети.
Христина
Відбілювання зубів Beyond
Відвідала клініку для відбілювання зубів Beyond, пломбування та художньої реставрації. Дуже сподобалося оптимальне співвідношення ціни та якості, швидке виконання робіт і комфортна атмосфера під час прийому. Рекомендую!
Дар'я Онуфрієнко
Корекції зубів
Лаура Віталіївна — чудовий дитячий ортодонт, сміливо рекомендую! Ми спостерігаємося вже рік. Нам встановили знімну пластинку для розширення піднебіння та корекції зубів. Результати просто відмінні: зуби вирівнялися, і ми навіть помітили покращення дикції у дитини. Важливо, що донька сама спокійно знімає та надягає пластинку, без будь-якого дискомфорту.
Олена
Видалення зруйнованого зуба
Довго відкладала видалення зруйнованого зуба, але все зробили швидко та безболісно. Лікар уважно пояснював кожен крок, реабілітація пройшла легко.
Anastasia Rodina
