Дитячий ортодонт у Дніпрі | Корекція прикусу у дітей: брекети, пластинки, апарати, міобрейси
Рання турбота про правильний прикус — це найкраща інвестиція у здоров’я дитини. Дитячий ортодонт у Дніпрі в стоматології 32Дентал спеціалізується на діагностиці, профілактиці та лікуванні аномалій прикусу у дітей та підлітків. Ми пропонуємо сучасні методи корекції: від профілактичних пластинок до ефективних брекет-систем.
Чим займається дитячий ортодонт?
Це фахівець, який контролює правильне формування зубощелепної системи дитини. Його завдання — своєчасно виявити відхилення та підібрати оптимальну конструкцію (пластинки, апарати, брекети), щоб не лише вирівняти зуби, а й вплинути на гармонійний розвиток щелеп.
Записати дитину на консультацію до ортодонта варто вже з 5-7 років. Це дозволить виявити проблеми на ранній стадії та уникнути складного лікування в майбутньому.
Чому корекція прикусу у дитини — це важливо?
Правильний прикус у дитини — це не лише естетика посмішки. Це фундаментальний аспект загального здоров’я, що впливає на багато функцій організму. Вирівнювання зубів у дитини необхідне, оскільки аномалії призводять до серйозних наслідків:
- Порушення мовлення та дикції.
- Неефективне жування, що може викликати проблеми з травною системою.
- Неправильне навантаження на скронево-нижньощелепні суглоби, головні болі.
- Вплив на поставу та розвиток шийного відділу хребта.
- Візуальна асиметрія та деформація форм обличчя.
- Підвищений ризик травм виступаючих зубів та розвитку карієсу через скупченість.
Тому консультація дитячого ортодонта — це проактивний крок для запобігання цих проблем.
Індивідуальний підхід до кожної дитини у ортодонтії
У стоматології 32Дентал дитячий ортодонт працює за принципом персоналізованої турботи. Ми розуміємо, що кожна дитина унікальна, а її психологічний комфорт — це пріоритет.
Наш підхід:
- Безстресове спілкування. Лікар доступно пояснює дитині всі етапи, знімаючи страх.
- Персональний вибір методу. Підбираємо конструкцію (пластинку, апарат або брекети) з урахуванням віку, складності проблеми та характеру дитини.
- Комфорт та стабільний результат. Наша мета — щоб лікування було легким, а його ефект — довговічним.
Коли потрібна консультація дитячого ортодонта?
Записати дитину на профілактичний огляд до дитячого ортодонта варто вже з 5-6 років. Але є конкретні ознаки, за яких консультація стає невідкладною:
- Постійні проблеми з дикцією, які не пов’язані з логопедичними причинами.
- Візуальні аномалії: помітна нерівність зубного ряду, великі щілини між зубами (діастеми), виражено висунута вперед або задвигнута назад щелепа.
- Переважне ротове дихання у дитини, а не носове, особливо в спокійному стані та під час сну.
- Нічний скрегіт зубами (бруксизм).
- Наявність шкідливих звичок, що тривають після 3-х років: смоктання пальця, губи, постійне гризіння олівців/ручок, втискання язика між зубами.
Своєчасний візит до дитячого ортодонта в стоматологію 32Дентал у Дніпрі дозволить виявити проблему на ранній стадії, коли її вирішення буде найпростішим, нетравматичним для дитини та економічно вигідним для батьків.
Методи корекції прикусу у дітей у стоматології 32Дентал
Сучасна дитяча ортодонтія пропонує різні методи, що підбираються за віком та діагнозом дитини.
Основні методи лікування
- Знімні пластинки. Для дошкільнят та молодших школярів. Корегують звички, розширюють зубний ряд.
- Трейнери (міобрейси). М’які знімні каппи. Тренують м’язи, усуваючи причини проблеми. Часто використовуються вночі.
- Ортодонтичні капи (елайнери). Серія прозорих кап для дітей старшого віку. Майже непомітні, знімні.
- Брекети. Незнімні системи — «золотий стандарт» для серйозних аномалій у дітей з 11-13 років. Забезпечують максимально точний результат.
Ми підберемо найкращий варіант для вашої дитини! Запишіться на консультацію до дитячого ортодонта у 32Дентал у місті Дніпро. Наш дитячий ортодонт підбере той метод, який буде оптимальним саме для вашої дитини, враховуючи її вік, готовність до співпраці та конкретну клінічну картину.
Ортодонтичні пластинки для дітей
Ортодонтичні пластинки — це один з найпоширеніших та найбільш доступних методів ранньої корекції прикусу у дітей. Ці конструкції, що можуть бути як знімними, так і незнімними, відрізняються м’яким, але при цьому високоефективним впливом на зубний ряд та щелепи, стимулюючи їх правильний розвиток.
Знімні пластинки для розширення щелепи та корекції прикусу
Знімна ортодонтична пластинка для верхньої щелепи — це індивідуально виготовлений апарат, що складається з:
- Полімерної основи (із гіпоалергенного пластику або силікону), яка точно повторює форму піднебіння.
- Металевих елементів: дуг та кламерів (гачків) із медичної сталі для надійної фіксації на зубах.
- Активаційного ключа (у розширювальних пластинах) для регулювання сили тиску.
Головна перевага знімних пластинок — це можливість їх зняття дитиною самостійно під час їди, заняття спортом та для ретельного чищення зубів. Це значно підвищує комфорт та спрощує гігієну.
Увага! Для успіху лікування критично важливим є контроль з боку батьків. Ефективність прямо залежить від часу носіння. Для досягнення стабільного результату пластинка повинна знаходитися в ротовій порожнині не менше 14-16 годин на добу, а в складних випадках — практикується майже постійне носіння (22 години). Батькам необхідно слідкувати за дотриманням цього режиму.
Деякі тимчасові незручності, такі як порушення дикції або підвинене слиновиділення на перших етапах, є нормальними і швидко минають після періоду адаптації (3-7 днів).
Незнімні апарати
Незнімні ортодонтичні апарати закріплюються в ротовій порожнині на весь термін лікування. Хоча вони частіше використовуються у дорослих, у певних випадках можуть бути показані і дітям. Їхня головна перевага — постійна дія, що забезпечує максимальну ефективність, оскільки тиск на зуби не припиняється. З такою конструкцією дикція майже не порушується, а ризик втрати апарата виключений.
Основним викликом при використанні незнімних апаратів є ретельна гігієна. Для якісного очищення навколо елементів конструкції обов’язково потрібно використовувати іригатор, спеціальні щітки (йоржики) та інші засоби, про які детально розповість ортодонт.
Міобрейси та трейнери для зубів
Міобрейси та ортодонтичні трейнери — це сучасні знімні капи або шини, основним призначенням яких є м’яка корекція причин, а не лише наслідків, неправильного прикусу. Вони виготовляються з еластичного, безпечного силікону чи поліуретану і є абсолютно гіпоалергенними.
Принцип їхньої дії полягає не у механічному переміщенні зубів, а у тренуванні м’язів щелепно-лицевої ділянки, усуненні шкідливих м’язових звичок та забезпеченні правильного положення язика. Це дозволяє усунути першопричину багатьох аномалій.
Застосування міобрейсів (трейнерів) у дитячій ортодонтії особливо ефективне для:
- Усунення шкідливих звичок дитини: смоктання пальця, гризіння предметів, неправильного прокладання язика.
- Корекції легких форм порушення прикусу та нерівності зубного ряду на ранніх етапах.
- Тренування м’язового комплексу для формування правильних функцій дихання, ковтання та мовлення.
- Комплексної терапії як допоміжний апарат до або після лікування брекетами.
Важливо розуміти, що рішення про необхідність та вибір конкретної моделі трейнера приймає виключно дитячий ортодонт після обстеження. У стоматології 32Дентал ми підбираємо таку конструкцію індивідуально, що гарантує її ефективність та комфорт для дитини.
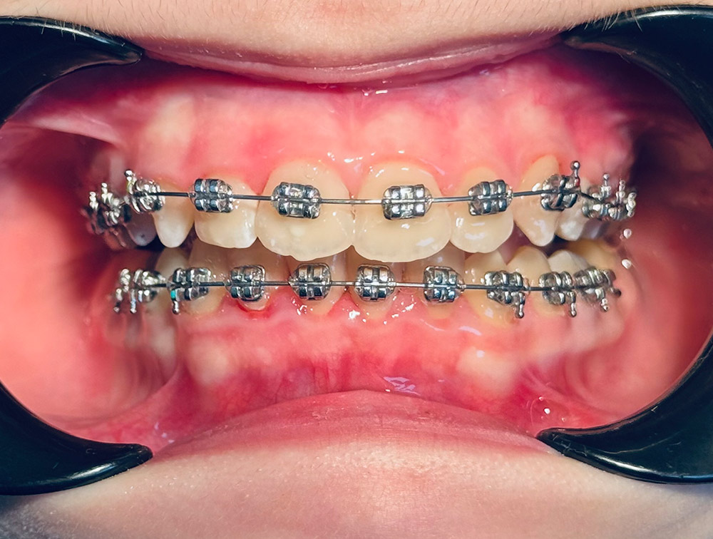
Брекети для дітей та підлітків
Брекети для дітей — це потужний та ефективний інструмент для корекції серйозних аномалій прикусу та нерівності зубного ряду в постійному прикусі. Ця незнімна ортодонтична система дозволяє досягти ідеального результату там, де знімні апарати можуть бути неефективними.
Чому ортодонтичне лікування брекетами у дитячому віці є найбільш сприятливим?
- Висока біологічна активність. У дітей та підлітків тканини навколо зубів (кісткова, зв’язкова) знаходяться в активній фазі росту та перебудови. Це дозволяє зубам переміщуватися значно легше та швидше.
- Скорочені терміни лікування. Завдяки вищезазначеній особливості, загальний час носіння брекетів дитиною часто буде меншим, ніж у дорослого з аналогічною проблемою.
- Можливість впливу на розвиток щелеп. У період активного росту за допомогою брекет-систем можна не лише вирівняти зуби, а й сприяти гармонійному розвитку самої щелепи, покращуючи профіль обличчя.
Від чого залежить тривалість лікування брекетами у дитини?
Точний термін носіння брекет-системи дитиною завжди визначається індивідуально. Крім віку, на нього впливає низка ключових факторів:
- Складність та характер аномалії. Чим вираженіше порушення прикусу та нерівність зубного ряду, тим більше часу знадобиться для їх повної корекції. Легке скупчення вирішується швидше, ніж перехресний прикус або серйозна дизокклюзія.
- Початковий стан здоров’я зубів та ясен. Наявність нелікованого карієсу, запальних процесів у яснах (гінгівіт) або інших захворюнь є прямими протипоказаннями до встановлення системи. Дитині обов’язково потрібно пройти повну санацію порожнини рота. Лікування цих проблем може зсунути початок ортодонтичної корекції, але є безумовно необхідним для безпечного та успішного результату.
- Дисципліна та співпраця дитини та батьків. Це один з найважливіших факторів. До нього відносяться:
Дотримання режиму носіння (якщо є знімні елементи).
Ретельне виконання всіх правил гігієни.
Обережність у харчуванні (дотримання дієти без твердих та липких продуктів).
Нехтування цими правилами може не лише подовжити лікування, але й призвести до пошкодження апарата та розвитку карієсу.
Пам’ятайте: Брекети для дитини — це не лише інструмент для створення гарної посмішки. Це вклад у її здоров’я, який покращує функцію жування, запобігає патології скронево-нижньощелепних суглобів, сприяє правильній дикції та може запобігти серйозним проблемам зі здоров’ям у дорослому віці. У стоматології 32Дентал наш дитячий ортодонт налаштовує контакт з кожною дитиною, мотивуючи її до співпраці, що є запорукою ефективного та швидкого лікування.
Коли потрібна консультація дитячого ортодонта? Ознаки для звернення
Перший профілактичний огляд у дитячого ортодонта рекомендується у віці 4-5 років, коли формується молочний прикус. Але записатися до ортодонта слід незалежно від віку, якщо ви помічаєте у дитини такі ознаки:
- Неправильне змикання зубів (прикус): Зуби верхньої та нижньої щелепи не сходяться правильно, що може викликати проблеми з жуванням, дикцією та навіть провокувати головний біль.
- Явна скупченість зубів: Зуби розташовані дуже тісно, «наповзають» один на одного. Це ускладнює гігієну, сприяючи карієсу та запаленню ясен.
- Проблеми зі зміною зубів: Випадання молочних зубів значно випереджає прорізування постійних або навпаки — постійний зуб вже проривається, а молочний ще не випав. Відсутність місця для нового зуба — також важливий сигнал.
- Аномальне положення окремих зуів: Зуби розвернуті, вивернуті, ростуть поза зубним рядом або мають неправильний кут нахилу.
- Щелепні диспропорції: Помітна невідповідність розмірів щелеп (одна значно виступає вперед), асиметрія обличчя, постійно напіввідкритий рот.
- Наявність шкідливих звичок: Дитина після 3-4 років продовжує смоктати палець, губу, предмети, підносить язик до зубів або переважно дихає ротом.
- Скарги на дискомфорт: Періодичні болю в щелепі, скронях, утруднене або клацаюче відкривання рота.
- Естетичні зауваження дитини або батьків: Якщо дитина соромиться посміхатися через криві зуби або ви бачите явні естетичні недоліки, це вагоме основа для консультації.
Звернутися до дитячого ортодонта в стоматологію 32Дентал у Дніпрі ніколи не рано. Своєчасна діагностика дозволяє використовувати найпростіші та найефективніші методи, уникаючи складного лікування в майбутньому.
Питання про дитячу ортодонтію: відповідає фахівець
Коли вперше показувати дитину ортодонту?
Першу консультацію рекомендуємо у 5–6 років, коли починається зміна зубів. Також звертайтесь, якщо помітили викривлення зубів або проблеми з жуванням у дитини.
Хто такий дитячий ортодонт?
Це спеціаліст з розвитку прикусу у дітей. Його задача — запобігти та виправити аномалії, підібравши оптимальний метод (пластинки, трейнери, брекети).
Чи завжди потрібні брекети дитині?
Ні. Брекети — лише один з інструментів для складних випадків. Часто ефективнішими є пластинки або трейнери. Метод підбирається індивідуально.
Чи потрібно виправляти прикус дитині?
Так. Правильний прикус впливає на здоров’я зубів, травлення, дихання та дикцію. Корекція у дитинстві проходить легше та ефективніше.
Ортодонти стоматології 32Дентал зазначають: період активного росту дитини — це найбільш сприятливий час для корекції. У цей вік лікування проходить значно легше, швидше, економічно вигідніше та дозволяє досягти ідеального стабільного результату, запобігнувши серйозним проблемам у дорослому віці.






































